Bọc răng sứ bị tụt lợi: Nguyên nhân, tác hại & giải pháp điều trị
Bọc răng sứ là giải pháp thẩm mỹ được nhiều người lựa chọn để sở hữu nụ cười trắng sáng, đều đẹp. Tuy nhiên, bọc răng sứ bị tụt lợi là một biến chứng không mong muốn, không chỉ gây mất thẩm mỹ mà còn ảnh hưởng nghiêm trọng đến sức khỏe răng miệng. Bài viết này từ Nha khoa Dentos sẽ giúp bạn hiểu rõ các nguyên nhân chính dẫn đến tình trạng này, những tác hại không thể xem thường, đồng thời đưa ra các giải pháp khắc phục và bí quyết phòng ngừa hiệu quả.
1. Nhận Biết Dấu Hiệu và Tác Hại Nghiêm Trọng Khi Bọc Răng Sứ Bị Tụt Lợi
Bọc răng sứ bị tụt lợi không khó để nhận biết nếu bạn chú ý đến những thay đổi ở vùng nướu quanh răng sứ.
1.1. Dấu hiệu dễ nhận thấy:
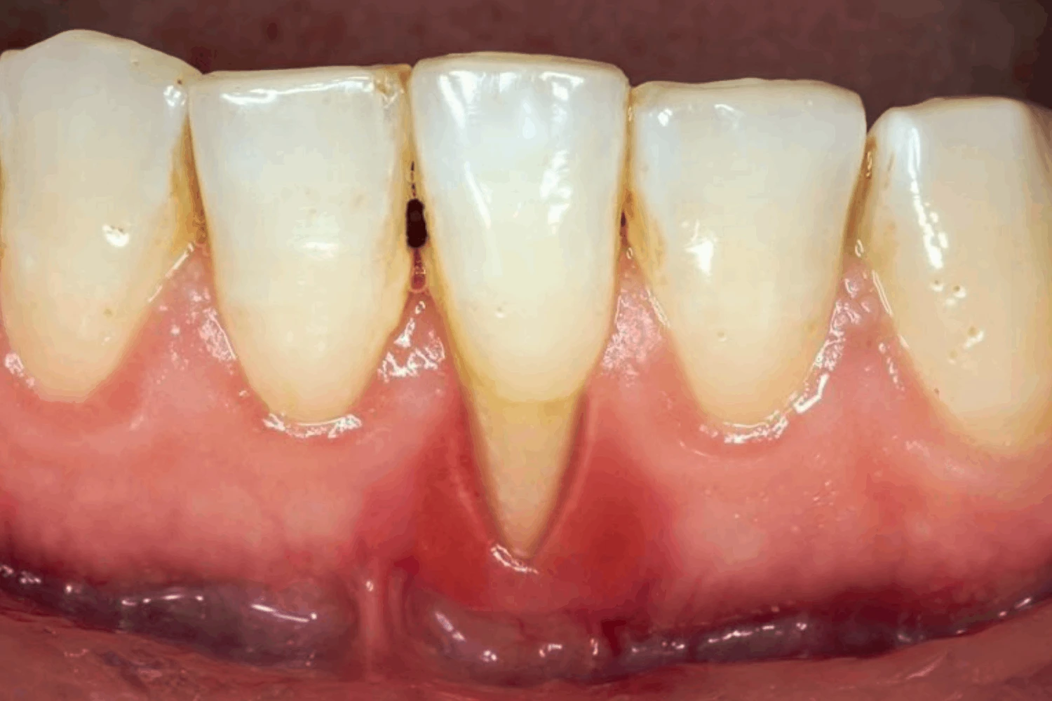
- Chân răng phía dưới mão sứ bị lộ ra, khiến răng trông dài hơn so với các răng khác hoặc so với thời điểm mới bọc răng sứ
- Nướu quanh răng sứ co lại, teo nhỏ, hoặc di chuyển về phía chóp chân răng, không còn ôm sát khít vào cổ răng sứ
- Viền nướu tại vị trí răng sứ có dấu hiệu viêm nhiễm như sưng đỏ, phồng rộp, đau nhức âm ỉ, hoặc dễ chảy máu khi chải răng
- Trong một số trường hợp, bạn có thể nhìn thấy rõ đường hoàn tất (viền) của mão sứ, thậm chí là phần cùi răng thật bên trong

1.2. Những tác hại không thể xem thường:
- Mất thẩm mỹ nụ cười: Nụ cười trở nên kém duyên, mất tự nhiên do lộ chân răng thường có màu sậm hơn, tạo cảm giác răng bị "rơi" ra hoặc không hài hòa
- Răng ê buốt, nhạy cảm: Phần chân răng bị lộ không có lớp men bảo vệ, chỉ có lớp ngà răng chứa nhiều ống ngà nhỏ dẫn truyền cảm giác, khiến răng nhạy cảm với thức ăn nóng, lạnh, chua, ngọt
- Nguy cơ cao mắc bệnh lý răng miệng: Thức ăn và vi khuẩn dễ mắc kẹt vào khe hở giữa mão sứ và chân răng, gây sâu răng, hôi miệng, viêm nướu và bệnh nha chu tiến triển nặng
- Tổn thương mô nha chu và xương: Viêm nhiễm kéo dài sẽ phá hủy các mô nâng đỡ răng, bao gồm xương ổ răng và dây chằng nha chu, dẫn đến răng lung lay và nguy cơ mất răng
- Ảnh hưởng chức năng ăn nhai: Cảm giác ê buốt và sự lung lay của răng sứ làm giảm khả năng cắn xé, nghiền nát thức ăn, ảnh hưởng đến việc ăn uống

2. Nguyên Nhân Chính Dẫn Đến Tình Trạng Bọc Răng Sứ Bị Tụt Lợi
2.1. Kỹ Thuật Bọc Răng Sứ Không Chuẩn Xác Từ Phía Nha Sĩ:
- Mài răng sai tỷ lệ: Mài quá nhiều mô răng thật, đặc biệt là mài sâu xuống dưới nướu và xâm phạm "khoảng sinh học", gây tổn thương nướu và tụt lợi sau này
- Lấy dấu không chính xác & chế tác mão sứ sai kích thước: Dẫn đến mão sứ không ôm sát khít với cùi răng, tạo ra các bờ vênh, cộm hoặc kẽ hở ở đường viền nướu
- Lắp mão sứ không đúng kỹ thuật: Đường hoàn tất đặt quá sâu dưới nướu hoặc có gờ cạnh sắc nhọn gây kích ứng liên tục lên mô nướu
2.2. Vật Liệu Sứ Kém Chất Lượng, Không Tương Thích Sinh Học:
Sứ không rõ nguồn gốc, không đảm bảo độ tinh khiết, hoặc chứa tạp chất kim loại có thể gây dị ứng, kích ứng và viêm nhiễm mô nướu kéo dài, thúc đẩy quá trình tụt lợi.
2.3. Bệnh Lý Răng Miệng Chưa Được Điều Trị Triệt Để:
Nếu viêm nướu, viêm nha chu tiềm ẩn không được phát hiện và điều trị dứt điểm trước khi bọc răng sứ, ổ viêm nhiễm sẽ tiếp tục âm thầm tiến triển, gây phá hủy các mô nâng đỡ răng và dẫn đến tụt lợi.
2.4. Chăm Sóc Răng Miệng Sai Cách Sau Khi Bọc Răng Sứ:
- Sử dụng bàn chải lông cứng, chải răng theo chiều ngang hoặc với lực quá mạnh gây tổn thương trực tiếp lên nướu

- Không vệ sinh kỹ các kẽ răng và vùng đường viền nướu bằng chỉ nha khoa, để mảng bám và vi khuẩn tích tụ
- Thói quen nghiến răng khi ngủ tạo áp lực quá mức lên răng sứ và nướu, làm tình trạng tụt lợi nghiêm trọng hơn
3. Cách Khắc Phục Hiệu Quả Khi Bọc Răng Sứ Bị Tụt Lợi
Nguyên tắc quan trọng: Khi phát hiện dấu hiệu tụt lợi, bạn cần đến ngay nha khoa uy tín để được thăm khám và điều trị phù hợp.
3.1. Điều trị dựa trên nguyên nhân cụ thể:
- Do kỹ thuật bọc răng sứ hoặc mão sứ sai: Bác sĩ sẽ tháo bỏ mão sứ cũ, sửa soạn lại cùi răng (nếu cần), lấy dấu hàm chính xác để thiết kế và chế tác mão sứ mới khít sát với đường viền nướu
- Do bệnh lý răng miệng chưa được điều trị: Tháo mão sứ ra, điều trị triệt để tình trạng viêm nướu, nha chu trước khi phục hình lại răng sứ mới
- Do vật liệu sứ kém chất lượng: Thay thế bằng các loại răng toàn sứ cao cấp, chính hãng như Orodent, Cercon, Lava... để đảm bảo an toàn cho nướu
3.2. Các can thiệp hỗ trợ điều trị:
- Điều trị nha chu chuyên sâu: Cạo vôi răng dưới nướu, làm sạch và xử lý bề mặt gốc răng để loại bỏ vi khuẩn và mô viêm
- Phẫu thuật ghép nướu: Trong trường hợp tụt lợi nặng, bác sĩ có thể chỉ định phẫu thuật ghép nướu để tái tạo phần nướu đã bị tụt, che phủ chân răng và cải thiện thẩm mỹ
4. Bí Quyết Phòng Ngừa Tình Trạng Bọc Răng Sứ Bị Tụt Lợi
"Phòng bệnh hơn chữa bệnh" - để tránh biến chứng bọc răng sứ bị tụt lợi, bạn cần lưu ý:
- Lựa chọn nha khoa uy tín: Có giấy phép rõ ràng, đội ngũ bác sĩ giỏi chuyên môn về phục hình sứ và ứng dụng công nghệ hiện đại
- Ưu tiên vật liệu toàn sứ chính hãng: Đảm bảo an toàn, tương thích sinh học tốt với mô nướu, giảm thiểu nguy cơ kích ứng
- Điều trị triệt để các bệnh lý răng miệng (sâu răng, viêm nướu, nha chu) trước khi bọc răng sứ
- Tuân thủ hướng dẫn chăm sóc răng miệng: Chải răng đúng cách bằng bàn chải lông mềm, sử dụng chỉ nha khoa và nước súc miệng hàng ngày
- Tái khám định kỳ 6 tháng/lần để kiểm tra tình trạng răng sứ, sức khỏe nướu và vệ sinh răng chuyên nghiệp
5. Nha Khoa Dentos: Giải Pháp An Toàn & Hiệu Quả Cho Vấn Đề Bọc Răng Sứ Bị Tụt Lợi
Bọc răng sứ bị tụt lợi cần được xử lý bởi các chuyên gia nha khoa thực thụ để tránh hậu quả nghiêm trọng. Tại Nha khoa Dentos, chúng tôi không chỉ tập trung vào việc kiến tạo những nụ cười thẩm mỹ hoàn hảo, mà còn đặc biệt chú trọng đến sức khỏe nướu và sự bền vững lâu dài của phục hình.

Với kinh nghiệm và uy tín qua 3 chi nhánh tại TP.HCM và sự tin chọn của hơn 30.000 khách hàng, chúng tôi tự tin là địa chỉ đáng tin cậy để giải quyết vấn đề này. Đội ngũ bác sĩ Chuyên khoa II của chúng tôi, được đào tạo bởi các chuyên gia quốc tế về cả phục hình sứ lẫn điều trị nha chu, có đủ năng lực để chẩn đoán chính xác nguyên nhân gây tụt lợi và đưa ra phác đồ điều trị hiệu quả, từ việc điều trị nha chu đến thay thế mão sứ không phù hợp hoặc thực hiện kỹ thuật ghép nướu tiên tiến.
Đừng để biến chứng tụt lợi ảnh hưởng đến nụ cười và sức khỏe của bạn. Liên hệ ngay Nha Khoa Dentos qua Hotline 0935 666 639 để được tư vấn và điều trị bởi các chuyên gia hàng đầu!
Xem thêm:





