Bọc răng sứ và cái tâm của bác sĩ: Điều cần biết trước khi thẩm mỹ răng
Khi đứng trước quyết định làm răng sứ thẩm mỹ, nhiều người thường bị choáng ngợp bởi vô số lời quảng cáo về những nụ cười trắng sứ hoàn hảo. Tuy nhiên, đằng sau một kết quả đẹp bền vững không chỉ là vật liệu hay công nghệ mà quan trọng hơn cả là cái tâm và trình độ của bác sĩ.
Qua những chia sẻ chân thực, Nha khoa Dentos muốn gửi đến bạn những lời khuyên giá trị. Điều này sẽ giúp bạn có một lựa chọn sáng suốt, tránh xa những hối tiếc không đáng có trên hành trình tìm kiếm nụ cười mới.
1. Khi nào làm răng sứ thẩm mỹ thật sự cần thiết?
Tại Nha khoa Dentos, nguyên tắc vàng đầu tiên là không làm thẩm mỹ răng nếu không thực sự cần thiết. Nếu bạn may mắn sở hữu một hàm răng khỏe mạnh và đều đặn thì hãy trân trọng và chăm sóc tốt. Các pháp thẩm mỹ chỉ nên được tìm đến khi răng thật gặp vấn đề về cấu trúc nghiêm trọng mà các phương pháp bảo tồn khác (trám, tẩy trắng) không thể khắc phục, hoặc có chỉ định y khoa bắt buộc:
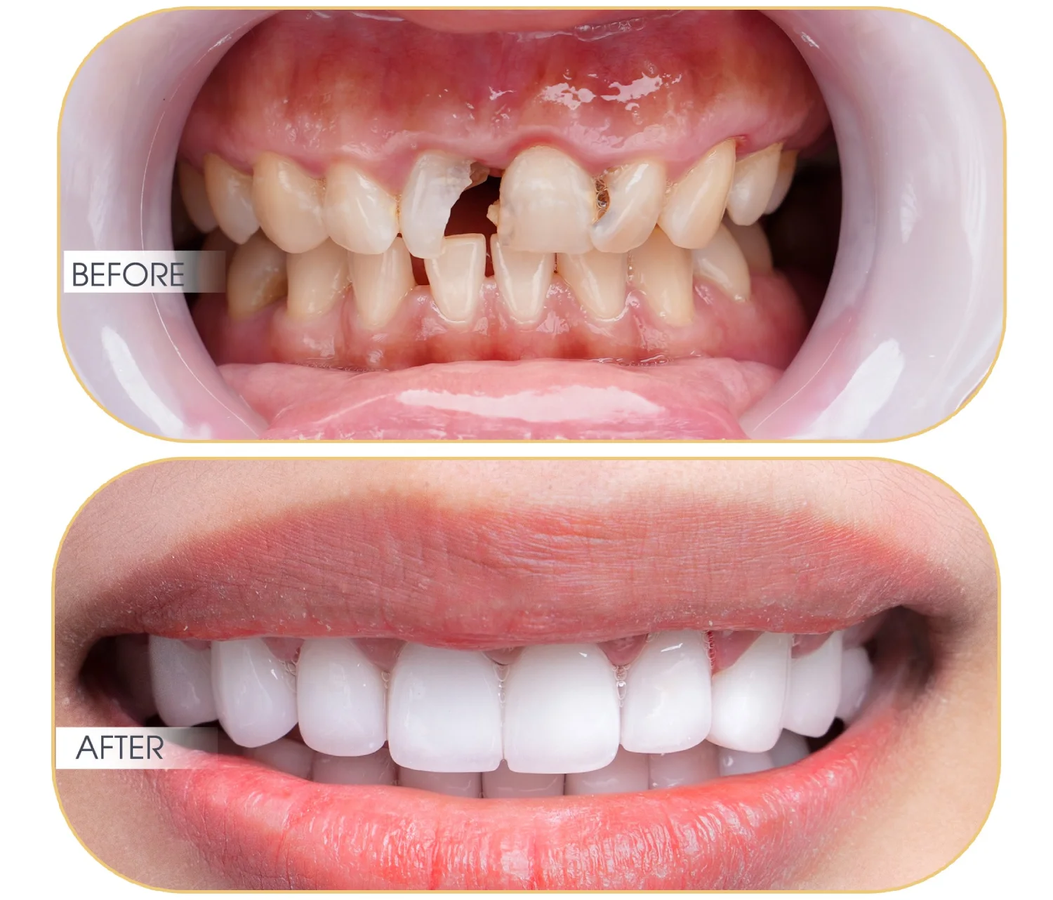
Răng bị tổn thương cấu trúc nghiêm trọng: Răng bị vỡ lớn, sứt mẻ nhiều, hoặc mất hơn một nửa cấu trúc răng do sâu răng nặng. Tình trạng này khiến răng thật rất yếu và có nguy cơ nứt vỡ, mất răng vĩnh viễn. Bọc răng sứ là giải pháp cần thiết để bảo vệ cấu trúc răng còn lại.

Răng đã điều trị tủy: Răng đã điều trị tủy trở nên giòn yếu do mất nguồn nuôi dưỡng. Việc bọc sứ là chỉ định y khoa bắt buộc để bảo vệ chiếc răng này khỏi nguy cơ gãy vỡ dưới lực nhai thông thường.
Răng bị nhiễm màu nặng (Tetracycline/Fluorosis): Đây là dạng nhiễm màu nội sinh khiến cho việc tẩy trắng răng không mang lại hiệu quả. Đối với các bạn quan tâm sâu sắc đến thẩm mỹ thì phương pháp phục hình răng sứ là giải pháp cần thiết để che phủ và phục hồi sự tự tin, giúp bạn có được hàm răng sáng màu đồng đều.
- Phục hình răng trên trụ Implant: Sau khi trụ implant đã tích hợp thành công vào xương hàm, bọc răng sứ là điều cần thiết để đảm bảo chức năng ăn nhai, cũng như tính thẩm mỹ cho hàm răng của bạn.
2. Đâu là giải pháp tối ưu khi lựa chọn giữa dán sứ Veneer và bọc răng sứ?
Khi đã có chỉ định cần phục hình, việc lựa chọn giữa dán Veneer và bọc răng sứ là vô cùng quan trọng. Một bác sĩ có tâm sẽ luôn tư vấn cho bạn giải pháp ít xâm lấn nhất, phù hợp với mức độ tổn thương của răng thật.
- Dán sứ Veneer là kỹ thuật chỉ sử dụng một lớp sứ siêu mỏng (0.2 - 0.5 mm) dán bên ngoài bề mặt răng. Bác sĩ chỉ cần mài một lớp rất mỏng trên men răng, giúp giữ lại gần như toàn bộ cấu trúc răng thật khỏe mạnh. Đây là lựa chọn ưu tiên cho các trường hợp răng có hình dáng tương đối đều đẹp nhưng gặp phải các vấn đề thẩm mỹ bề mặt như: răng ố vàng nhiễm màu ở mức độ nhẹ đến trung bình; răng bị thưa, có kẽ hở nhỏ ở giữa; răng bị sứt mẻ, mòn cạnh ở mức độ nhẹ.

- Bọc răng sứ là phương pháp dùng một mão sứ chụp ra ngoài, đòi hỏi mài nhiều mô răng hơn. Dù có thể mang lại vẻ đẹp từ 10 - 15 - 20 năm nhưng việc mài nhiều có thể tiềm ẩn rủi ro cho sức khỏe răng về lâu dài. Đây là chỉ định cần thiết cho các trường hợp răng bị tổn thương nặng hơn về cấu trúc hoặc có hình thể phức tạp, cụ thể như: Răng bị sâu, vỡ lớn, mất hơn một nửa cấu trúc răng; răng đã điều trị tủy trở nên giòn yếu và cần được bảo vệ; răng bị nhiễm màu nặng mà Veneer không thể che phủ được hết; răng mọc chen chúc, khấp khểnh hoặc có hình dáng bất thường cần tái tạo lại.

3. Cảnh giác trước những chỉ định sai lầm trong nha khoa thẩm mỹ
Nhiều cơ sở thẩm mỹ thiếu uy tín thường tư vấn các giải pháp không phù hợp chỉ vì lợi nhuận. Bạn cần đặc biệt cảnh giác trước các vấn đề sau, bởi chúng có thể gây ra những rủi ro vĩnh viễn cho sức khỏe răng miệng:
Sai chỉ định chức năng: Bạn cần biết rằng bọc răng sứ không phải là giải pháp cho mọi vấn đề. Nếu bạn được khuyên bọc sứ để trị hô, vẩu nặng, hay răng chen chúc, bạn cần hiểu rằng giải pháp đúng đắn cho các sai lệch khớp cắn nghiêm trọng này là niềng răng (chỉnh nha).
Mài răng không cần thiết và thiếu trung thực: Việc khuyến khích mài cả hàm răng khỏe mạnh để bọc răng sứ chỉ vì mục đích thẩm mỹ cần được xem xét cẩn trọng. Bạn nên cẩn thận với những nơi quảng cáo "bác sĩ tay nghề cao" nhưng lại giao ca cho nha sĩ khác có trình độ kém hơn.
Rủi ro kỹ thuật từ tay nghề kém: Việc thực hiện bởi người không có chuyên môn sẽ dẫn đến những hậu quả nghiêm trọng. Những hậu quả này bao gồm ê buốt kéo dài, hở cổ răng (viêm nướu), sâu răng tái phát dưới mão sứ do mài răng quá tỉ lệ hoặc không tỉ mỉ khi gắn sứ.
Do đó, bạn nên lựa chọn nha khoa uy tín, nơi có quy trình chuẩn y khoa, minh bạch về vật liệu, và có cam kết bảo hành rõ ràng.
4. Cái TÂM và cái TẦM tại Nha khoa Dentos
"Cái tâm" khi làm răng sứ tại Dentos được thể hiện qua triết lý hoạt động cốt lõi: luôn đặt sức khỏe của khách hàng lên hàng đầu. Điều này thể hiện qua việc chúng tôi chỉ tư vấn đúng chỉ định và luôn ưu tiên các giải pháp giúp bảo tồn tối đa mô răng thật, bởi chúng tôi tin rằng vẻ đẹp bền vững phải được xây dựng trên một nền tảng sức khỏe vững chắc.
Tại Nha khoa Dentos, chúng tôi tin rằng uy tín được xây dựng từ hành động thực tế. Năng lực và uy tín của Dentos được chứng thực qua những yếu tố thực tế:
Đội ngũ bác sĩ Chuyên khoa II được đào tạo chuyên sâu, đảm bảo mỗi thao tác đều chuẩn xác và an toàn.

Hệ thống công nghệ hiện đại giúp bác sĩ chẩn đoán, điều trị và phục hình chính xác: Như CT Cone Beam hỗ trợ khảo sát cấu trúc tủy răng trước khi mài và các dấu hiệu bệnh lý tiềm ẩn; Công nghệ DSD cho xem trước kết quả nụ cười và điều chỉnh theo ý muốn; Công nghệ thiết kế và chế tác mão sứ CAD/CAM giúp đảm bảo mỗi chiếc răng sứ thẩm mỹ đều khít sát hoàn hảo.
Chất lượng vật liệu hàng đầu với các dòng sứ chính hãng như răng sứ Orodent, răng sứ HT Smile, răng sứ Zirconia, Cercon ht, Lava Esthetic,...
Và quan trọng nhất, năng lực của chúng tôi đã được khẳng định khi Dentsply Sirona (Tập đoàn cung ứng giải pháp nha khoa lớn nhất Thế giới) và Orodent chứng nhận Dentos là TOP 1 Nha khoa có sản lượng tiêu thụ răng sứ chính hãng lớn nhất Việt Nam.
Nếu bạn đang tìm kiếm một địa chỉ thẩm mỹ răng uy tín, nơi có những lời khuyên chân thành vì sức khỏe lâu dài của bạn, hãy liên hệ với chúng tôi. Gọi ngay đến Hotline: 0935 666 639 để được các chuyên gia tại Dentos tư vấn miễn phí!
Xem thêm:





