Có nên bọc răng sứ thẩm mỹ? Lợi ích, rủi ro & quy trình thực hiện
Làm đẹp bằng phương pháp bọc răng sứ thẩm mỹ chắc hẳn không còn xa lạ với nhiều người. Tuy nhiên, không ít bạn vẫn còn chần chừ trước khi quyết định vì những lo ngại về các rủi ro như hôi miệng, đau nhức kéo dài, hay phải mài răng thật. Vậy thực hư về hiệu quả của phương pháp này như thế nào? Có nên bọc răng sứ thẩm mỹ hay không? Hãy cùng Nha khoa Dentos phân tích khách quan về lợi ích, rủi ro và làm rõ quy trình chuẩn để giúp bạn đưa ra quyết định đúng đắn nhất.
1. Đánh Giá Toàn Diện: Khi Nào NÊN Bọc Răng Sứ Thẩm Mỹ?
1.1. Lợi Ích Vượt Trội Mà Bọc Răng Sứ Thẩm Mỹ Mang Lại:
- Cải thiện thẩm mỹ ngoạn mục: Đây là lợi ích lớn nhất, giúp khắc phục nhanh chóng các khuyết điểm như răng sứt mẻ, lệch lạc nhẹ, hô hoặc móm ở mức độ nhẹ do răng, răng xỉn màu nặng... mang lại cho bạn một hàm răng trắng sáng, đều đặn và hài hòa với tổng thể khuôn mặt.

- Bảo vệ cấu trúc răng thật: Mão sứ đóng vai trò như một "lớp áo giáp" vững chắc, bảo vệ các răng đã điều trị tủy (vốn giòn và dễ vỡ) hoặc các răng bị sâu vỡ lớn khỏi nguy cơ gãy vỡ do tác động của lực nhai.
- Phục hồi chức năng ăn nhai hiệu quả: Với các dòng răng toàn sứ cao cấp, có độ bền và khả năng chịu lực tốt, bọc răng sứ thẩm mỹ giúp bạn ăn nhai thoải mái gần như răng thật.
- Độ bền cao, sử dụng lâu dài: Răng toàn sứ chính hãng không gây kích ứng và có thể bền đẹp từ 15-20 năm hoặc thậm chí lâu hơn nếu được chăm sóc đúng cách.
- Tăng cường sự tự tin: Một nụ cười đẹp, khỏe khoắn giúp bạn tự tin hơn rất nhiều trong giao tiếp và cuộc sống.
1.2. Những Trường Hợp Phù Hợp Để Bọc Răng Sứ Thẩm Mỹ:
Bọc răng sứ thẩm mỹ là giải pháp lý tưởng nếu bạn thuộc các trường hợp sau:
- Răng bị sâu hoặc vỡ lớn không thể phục hồi hiệu quả bằng phương pháp trám răng.
- Răng đã điều trị tủy cần được bảo vệ để tránh nứt, gãy.
- Răng bị nhiễm màu nặng (do kháng sinh Tetracycline, nhiễm Fluor...) mà phương pháp tẩy trắng không hiệu quả.
- Dáng răng có khiếm khuyết như hô, móm nhẹ (do răng), răng thưa, khấp khểnh ở mức độ phù hợp.
- Răng sứ cũ đã bị hỏng, đổi màu, hoặc gây đen viền nướu cần được thay thế.
2. Nhận Diện Rủi Ro Tiềm Ẩn Khi Bọc Răng Sứ Thẩm Mỹ & Nguyên Nhân
Những rủi ro như hôi miệng, đau nhức... không phải là bản chất của phương pháp bọc răng sứ thẩm mỹ, mà thường là hậu quả của việc lựa chọn nha khoa thiếu uy tín, tay nghề bác sĩ kém hoặc sử dụng vật liệu không đảm bảo. Việc hiểu rõ những rủi ro này giúp bạn chủ động phòng tránh:
2.1. Các rủi ro thường gặp:
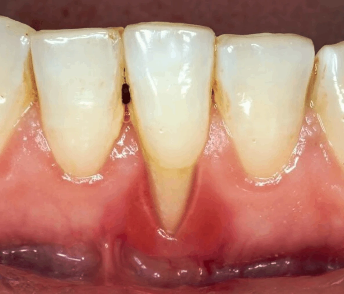
Các vấn đề có thể phát sinh nếu thực hiện sai cách bao gồm đau nhức, ê buốt kéo dài, viêm nướu, tụt lợi, hôi miệng do mão sứ không khít sát. Ngoài ra, còn có nguy cơ lệch khớp cắn gây khó khăn khi ăn nhai, hoặc răng sứ kém chất lượng bị nứt, vỡ sớm.

2.2. Nguyên nhân chính gây ra các rủi ro:
- Nha sĩ tay nghề kém, thực hiện sai kỹ thuật: Đây là nguyên nhân hàng đầu. Việc mài răng quá nhiều, lấy dấu không chính xác hoặc lắp sứ không khít sát sẽ dẫn đến hàng loạt vấn đề gây khó chịu cho bạn về sau.
- Vật liệu sứ kém chất lượng, không rõ nguồn gốc: Các loại sứ giá rẻ thường không đảm bảo độ bền, tính tương thích sinh học và thẩm mỹ.
- Công nghệ, trang thiết bị lạc hậu: Không đảm bảo độ chính xác cần thiết trong quá trình chế tác và phục hình.
- Bệnh lý răng miệng chưa được điều trị triệt để: Bọc sứ lên một nền răng miệng đang viêm nhiễm sẽ khiến tình trạng trầm trọng hơn.
3. Quy Trình Bọc Răng Sứ Thẩm Mỹ Chuẩn Quốc Tế Tại Dentos – Giải Pháp Loại Bỏ Rủi Ro
Một quy trình chuẩn mực, khoa học chính là cách tốt nhất để đảm bảo an toàn, hiệu quả và loại bỏ các nguyên nhân gây rủi ro đã nêu ở trên. Tại Nha khoa Dentos, quy trình bọc răng sứ thẩm mỹ bao gồm các bước sau:
- Bước 1: Thăm khám và Lên kế hoạch điều trị: Bác sĩ Chuyên khoa II thăm khám kỹ lưỡng, chụp CT Cone Beam (nếu cần) và sử dụng công nghệ Digital Smile Design 3D để cùng bạn thiết kế nụ cười, sau đó thống nhất kế hoạch điều trị chi tiết.
- Bước 2: Vệ sinh và Điều trị bệnh lý nền: Đảm bảo một nền tảng răng miệng hoàn toàn khỏe mạnh trước khi phục hình.
- Bước 3: Gây tê, Sửa soạn cùi răng và Lấy dấu 3D: Bác sĩ thực hiện các thao tác một cách nhẹ nhàng, chính xác và lấy dấu bằng máy quét kỹ thuật số hiện đại.

- Bước 4: Chế tác răng sứ bằng công nghệ CAD/CAM: Tại Labo chuyên biệt, đảm bảo độ chính xác và thẩm mỹ tuyệt đối. Bạn sẽ được gắn răng tạm trong thời gian này.
- Bước 5: Gắn răng sứ vĩnh viễn và Hoàn tất: Bác sĩ kiểm tra kỹ lưỡng độ khít, khớp cắn, màu sắc trước khi gắn cố định.
- Bước 6: Hướng dẫn chăm sóc và Hẹn lịch tái khám định kỳ.
4. Vậy Có Nên Bọc Răng Sứ Thẩm Mỹ Không?
Câu trả lời là: NÊN bọc răng sứ thẩm mỹ khi bạn có các khuyết điểm về răng và mong muốn cải thiện nụ cười một cách hiệu quả, với điều kiện tiên quyết là phải lựa chọn đúng địa chỉ nha khoa uy tín.
Việc lựa chọn đúng nha khoa sẽ giúp bạn tận hưởng trọn vẹn những lợi ích mà phương pháp này mang lại như một nụ cười trắng sáng, đều đẹp, tự tin và chức năng ăn nhai tốt, đồng thời loại bỏ hoàn toàn các rủi ro không đáng có.
5. Nha Khoa Dentos – Địa Chỉ Bọc Răng Sứ Thẩm Mỹ Uy Tín Hàng Đầu TP.HCM
Tại Nha khoa Dentos, chúng tôi hiểu rõ những băn khoăn của bạn khi quyết định bọc răng sứ thẩm mỹ. Với đội ngũ bác sĩ Chuyên Khoa II giàu kinh nghiệm, hệ thống công nghệ hiện đại (CT Cone Beam AI, Smile Design, CAD/CAM, Labo tại chỗ), và cam kết 100% sứ chính hãng (Orodent, Cercon, Lava...), chúng tôi đảm bảo quy trình bọc răng sứ thẩm mỹ của bạn diễn ra an toàn, chính xác và mang lại kết quả vượt trội. Là TOP 1 về tiêu thụ sứ chính hãng, cùng sự tin tưởng của hơn 30.000 khách hàng, Dentos tự tin mang đến cho bạn nụ cười hoàn hảo với chi phí cạnh tranh và chính sách bảo hành rõ ràng.

Bạn đã sẵn sàng để sở hữu nụ cười rạng rỡ và tự tin? Liên hệ ngay Nha Khoa Dentos qua Hotline 0935 666 639!
Xem thêm:





