Gãy răng chỉ còn chân răng bọc răng sứ được không?
Gãy răng chỉ còn chân răng bọc răng sứ được không là vấn đề mà nhiều khách hàng quan tâm, bởi tình trạng này gây ảnh hưởng nghiêm trọng đến thẩm mỹ, chức năng ăn nhai, sức khỏe răng miệng, và đặc biệt là sự tự tin của người bị gãy răng. Vậy, trong trường hợp răng bị gãy răng chỉ còn chân răng bọc răng sứ được không theo lời khuyên của nha sĩ? Hãy cùng nha khoa Dentos tìm hiểu!
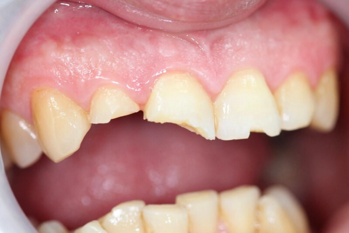
1. Những nguyên nhân thường gặp khiến răng chỉ còn chân răng
Tình trạng răng bị gãy, vỡ chỉ còn lại phần chân răng có thể do nhiều nguyên nhân khác nhau, như:
- Tai nạn, chấn thương ngoài ý muốn: Đây là một trong những nguyên nhân phổ biến nhất, răng bị va đập vào các vật thể cứng gây gãy răng.
- Răng bị thiếu canxi: Canxi là thành phần quan trọng cấu tạo nên men răng và xương răng, nếu thiếu canxi, răng sẽ trở nên yếu hơn, dễ bị tổn thương và gãy vỡ.
- Răng bị mắc bệnh lý: Đặc biệt là sâu răng, vi khuẩn sẽ ăn sâu vào men răng và ngà răng, làm suy yếu cấu trúc răng, khiến răng dễ bị gãy vỡ, thậm chí chỉ còn lại phần chân răng.

2. Gãy răng chỉ còn chân răng bọc răng sứ được không?
Tuỳ vào tình trạng của răng thật mà nha sĩ sẽ quyết định chỉ còn chân răng bọc răng sứ được không, hay là thực hiện các phương pháp khác dựa trên nguyên tắc bảo tồn tối đa răng thật cho người bệnh.
2.1. Chân răng còn khỏe mạnh
Nếu chân răng còn chắc khoẻ, không bị lung lay, viêm nhiễm, còn đủ chiều dài để nâng đỡ mão sứ thì chỉ còn chân răng cũng có thể bọc răng sứ được.
2.2. Chân răng hư hỏng nặng, viêm nhiễm
Nếu chân răng bị hư hỏng, viêm nhiễm nặng gây ra tình trạng lung lay nhiều và không đủ điều kiện để nâng đỡ mão sứ, nha sĩ sẽ chỉ định nhổ bỏ chân răng và thay thế bằng phương pháp trồng răng Implant. Trụ Implant được cấy trực tiếp vào xương hàm, đóng vai trò như một chân răng thật, sau đó mão răng sứ sẽ được gắn lên trên trụ Implant để phục hồi thẩm mỹ và ăn nhai.
3. Chỉ còn chân răng bọc răng sứ bao nhiêu?
Chi phí bọc răng sứ phụ thuộc vào loại răng sứ bạn lựa chọn và tình trạng sức khỏe răng miệng của bạn. Tại nha khoa Dentos, chi phí bọc răng sứ dao động từ 2,5 triệu đồng đến 15 triệu đồng/răng, chưa bao gồm các chương trình ưu đãi hiện hành. Bảng giá chi tiết các loại răng sứ tại nha khoa Dentos như sau:
| Bảng giá bọc răng sứ tại nha khoa Dentos | Giá niêm yết |
| Zirconia HT | 2.500.000đ/răng |
| Zirconia ML | 3.000.000đ/răng |
| DDBio | 6.000.000đ/răng |
| Cercon | 4.000.000đ/răng |
| Cercon ht | 7.000.000đ/răng |
| HT Smile | 8.000.000đ/răng |
| Lava Esthetic | 12.000.000đ/răng |
| Orodent White Matt | 10.000.000đ/răng |
| Orodent High Translucent | 12.000.000đ/răng |
| Orodent Bleach | 15.000.000đ/răng |
| Cercon ht ML | 15.000.000đ/răng |
Ngoài ra, nếu chân răng của bạn đang bị sâu, viêm nhiễm hoặc cần điều trị tủy trước khi bọc răng sứ, bạn sẽ phải trả thêm khoản chi phí từ 500.000 - 1.000.000 VNĐ/răng. Nha sĩ sẽ tư vấn cụ thể và minh bạch về các chi phí phát sinh này trước khi tiến hành điều trị. Nha khoa Dentos cam kết không phát sinh bất kỳ chi phí nào khác trong quá trình điều trị.
Trong trường hợp không thể giữ được chân răng và cần phải cấy ghép Implant, chi phí cho một trụ Implant tại nha khoa Dentos dao động từ 8 triệu đồng đến 35 triệu đồng/trụ, tùy thuộc vào loại trụ Implant bạn lựa chọn. Bạn có thể tham khảo bảng giá dưới đây:

Gãy răng chỉ còn chân răng là một vấn đề quan trọng liên quan tới sức khỏe răng miệng và tính thẩm mỹ của hàm răng. Nếu gặp vấn đề này, bạn hãy đến ngay nha khoa Dentos để được nha sĩ thăm khám và tư vấn dựa trên tình trạng thực tế của bạn.
Nhận được sự tin tưởng của hơn 30.000+ Khách hàng mỗi năm, nha khoa Dentos tự hào là điểm đến hàng đầu tại TP.HCM cung cấp dịch vụ bọc răng sứ có chất lượng vượt trội. Với đội ngũ nha sĩ chuyên nghiệp, có chuyên môn cao, thường xuyên được đào tạo bởi các chuyên gia nước ngoài, cùng sản phẩm đa dạng, chất lượng, ứng dụng công nghệ hiện đại, thiết bị tiên tiến vào trong quá trình bọc răng sứ, nha khoa Dentos mang đến cho toàn bộ khách hàng hiệu quả tốt nhất cùng mới giá bọc răng sứ tối ưu nhất.

Đặc biệt, nha khoa Dentos được bình chọn là TOP 1 tiêu thụ răng sứ Orodent & răng sứ Cercon tại Việt Nam, chứng minh cho độ uy tín và chất lượng của thương hiệu. Để không bỏ lỡ các chương trình ưu đãi hấp dẫn của nha khoa Dentos, hãy liên hệ nha khoa Dentos ngay hôm nay để được thăm khám và tư vấn hoàn toàn miễn phí!
Xem thêm





