Làm lại răng sứ cũ: Khi nào cần? Làm có đau không?
Chiếc răng sứ bạn đã làm cách đây vài năm giờ đây không còn mang lại nụ cười tự tin như trước? Có thể bạn đang gặp phải tình trạng đen viền nướu, răng sứ bị xỉn màu, mẻ vỡ, hoặc cảm thấy ăn nhai không còn thoải mái. Bạn tự hỏi liệu có nên làm lại răng sứ cũ hay không, và quá trình này có phức tạp, đau đớn? Đừng lo lắng, Nha khoa Dentos sẽ cùng bạn tìm hiểu những dấu hiệu cho thấy đã đến lúc cần "tân trang" nụ cười, quy trình thực hiện an toàn và cách lựa chọn nha khoa uy tín để đảm bảo kết quả mỹ mãn.
1. Những Dấu Hiệu Cho Thấy Bạn Nên Cân Nhắc Làm Lại Răng Sứ Cũ?
Không phải tất cả răng sứ đều cần thay thế, nhưng nếu bạn nhận thấy một hoặc nhiều dấu hiệu sau đây, việc cân nhắc làm lại răng sứ là hoàn toàn hợp lý:
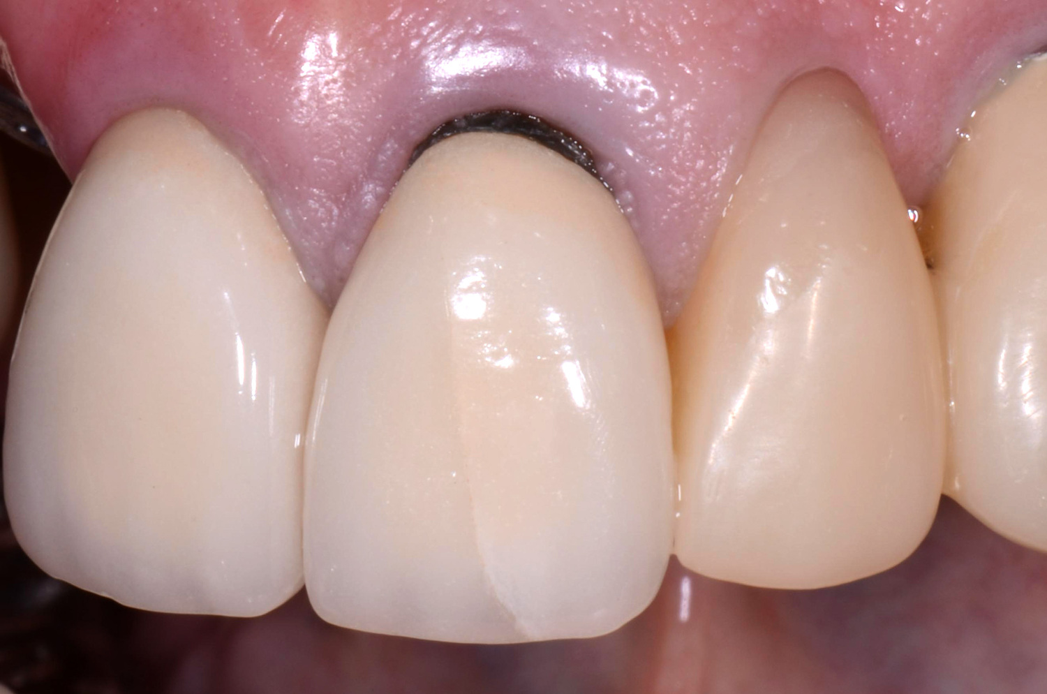
- Đen Viền Nướu: Đây là dấu hiệu rất phổ biến ở những người bọc răng sứ kim loại hoặc titan sau khoảng 3-5 năm sử dụng. Do khung sườn kim loại bên trong bị oxy hóa theo thời gian, gây ra viền đen mất thẩm mỹ ngay chân răng, làm nụ cười của bạn kém duyên.

- Màu Sắc Răng Sứ Thay Đổi: Răng sứ cũ, đặc biệt là các loại sứ chất lượng không cao, có thể bị xỉn màu, ố vàng, không còn giữ được độ trắng sáng như ban đầu, hoặc màu sắc không còn hài hòa với các răng thật xung quanh.
- Răng Sứ Bị Mẻ, Vỡ: Do va chạm, ăn nhai vật cứng hoặc đơn giản là do vật liệu sứ cũ đã xuống cấp, không còn đảm bảo độ bền. Vết mẻ vỡ không chỉ mất thẩm mỹ mà còn có thể gây khó chịu, sắc cạnh.
- Mão Sứ Bị Hở, Không Khít Sát: Nếu kỹ thuật bọc răng sứ ban đầu không chuẩn, mão sứ có thể bị hở ở phần cổ răng. Kẽ hở này là nơi thức ăn dễ dàng giắt vào, gây hôi miệng, viêm nướu và tăng nguy cơ sâu răng cho cùi răng thật bên trong.

- Sai Lệch Khớp Cắn: Mão sứ cũ không được chỉnh khớp cắn đúng cách có thể gây cộm vướng khi ăn nhai, đau mỏi hàm, thậm chí làm thay đổi khớp cắn tự nhiên của bạn.
- Viêm Nướu, Viêm Nha Chu Tái Phát: Nếu nướu xung quanh răng sứ thường xuyên bị sưng đỏ, chảy máu dù bạn đã vệ sinh kỹ, nguyên nhân có thể đến từ việc mão sứ cũ gây kích ứng hoặc không khít sát.
- Mong Muốn Nâng Cấp Thẩm Mỹ: Đơn giản là bạn muốn thay thế răng sứ cũ bằng các dòng răng toàn sứ thế hệ mới với thẩm mỹ vượt trội, an toàn và bền đẹp hơn.
Nếu bạn đang gặp phải những vấn đề trên, việc làm lại răng sứ cũ không chỉ giúp cải thiện thẩm mỹ mà còn bảo vệ sức khỏe răng miệng lâu dài.
2. Tháo Răng Sứ Cũ Có Đau Không? Có Ảnh Hưởng Răng Thật Không?
Đây là lo lắng hàng đầu của nhiều người khi nghĩ đến việc tháo răng sứ cũ. Bạn có thể hoàn toàn yên tâm nếu thực hiện tại nha khoa uy tín với bác sĩ tay nghề cao.
- Về cảm giác đau: Quá trình tháo răng sứ cũ thường không gây đau đớn vì bạn sẽ được gây tê tại chỗ bằng các loại thuốc tê hiện đại, an toàn. Bác sĩ sẽ sử dụng các dụng cụ chuyên biệt để nhẹ nhàng cắt và tách mão sứ cũ ra khỏi cùi răng thật, hạn chế tối đa lực tác động mạnh. Bạn có thể chỉ cảm thấy hơi ê nhẹ hoặc không có cảm giác gì trong suốt quá trình.

- Về ảnh hưởng răng thật: Mục tiêu hàng đầu khi tháo răng sứ cũ là phải bảo tồn tối đa cấu trúc cùi răng thật bên trong. Bác sĩ có kinh nghiệm sẽ thao tác cực kỳ cẩn thận, khéo léo để không làm tổn thương, mẻ vỡ hay lung lay cùi răng thật. Tuy nhiên, nếu bạn thực hiện tại cơ sở kém chất lượng, tay nghề bác sĩ yếu, việc tháo lắp cẩu thả hoàn toàn có thể gây hại cho răng gốc.
Do đó, yếu tố quyết định sự an toàn và thoải mái khi làm lại răng sứ chính là trình độ của bác sĩ và trang thiết bị hỗ trợ.
3. Tiêu Chí Vàng Giúp Bạn Chọn Địa Chỉ Nha Khoa An Toàn Khi Cần Làm Lại Răng Sứ
Để đảm bảo quá trình thay răng sứ mới diễn ra thuận lợi và đạt kết quả như ý, bạn cần lựa chọn nha khoa dựa trên các tiêu chí sau:
- Bác sĩ chuyên môn cao, giàu kinh nghiệm: Ưu tiên các bác sĩ có trình độ Chuyên Khoa II về Răng Hàm Mặt, đặc biệt là chuyên sâu về phục hình răng sứ thẩm mỹ. Kinh nghiệm xử lý các ca làm lại răng sứ phức tạp sẽ đảm bảo thao tác tháo lắp an toàn, chuẩn xác và thẩm mỹ.
- Vật liệu sứ chính hãng, chất lượng cao: Nha khoa uy tín phải cam kết sử dụng các dòng răng toàn sứ chính hãng từ các thương hiệu nổi tiếng thế giới (như Orodent, Dentsply Sirona - Cercon HT, Lava Esthetic...), có nguồn gốc xuất xứ rõ ràng và thẻ bảo hành chính hãng đi kèm. Điều này cực kỳ quan trọng để chiếc răng sứ mới của bạn đạt độ bền và thẩm mỹ tối ưu.

- Công nghệ và trang thiết bị hiện đại: Công nghệ hỗ trợ như máy chụp phim Cone Beam CT (giúp đánh giá chính xác tình trạng răng gốc và xương hàm khi cần thiết), công nghệ Digital Smile Design - DSD (giúp bạn thấy trước và cùng bác sĩ thiết kế nụ cười mong muốn), và hệ thống Labo CAD/CAM tại chỗ sẽ giúp chế tác mão sứ mới nhanh chóng, chuẩn xác đến từng chi tiết, đảm bảo độ khít sát hoàn hảo.
- Quy trình thăm khám, tư vấn chuyên nghiệp, minh bạch: Một nha khoa đáng tin cậy sẽ luôn thăm khám kỹ lưỡng tình trạng răng sứ cũ và răng thật của bạn, tư vấn rõ ràng các phương án, giải thích ưu nhược điểm, lập kế hoạch điều trị chi tiết và báo giá trọn gói, không mập mờ.
- Đánh giá thực tế từ khách hàng: Tham khảo các đánh giá, hình ảnh trước sau của những khách hàng đã làm lại răng sứ tại nha khoa đó sẽ cho bạn cái nhìn khách quan về chất lượng dịch vụ.
4. Quy Trình Làm Lại Răng Sứ Mới Tại Nha Khoa Dentos Diễn Ra Như Thế Nào?
Tại nha khoa Dentos, quy trình làm lại răng sứ cũ được thực hiện bởi đội ngũ bác sĩ CKII theo các bước chuẩn y khoa, đảm bảo an toàn, thẩm mỹ và hiệu quả:
- Thăm khám, chụp phim & tư vấn: Bác sĩ kiểm tra tổng quát, chụp phim Cone Beam CT 3D (nếu cần thiết) để đánh giá sâu cấu trúc bên trong. Từ đó, bác sĩ sẽ tư vấn nguyên nhân cần làm lại răng sứ và cùng bạn lựa chọn loại sứ mới phù hợp nhất.

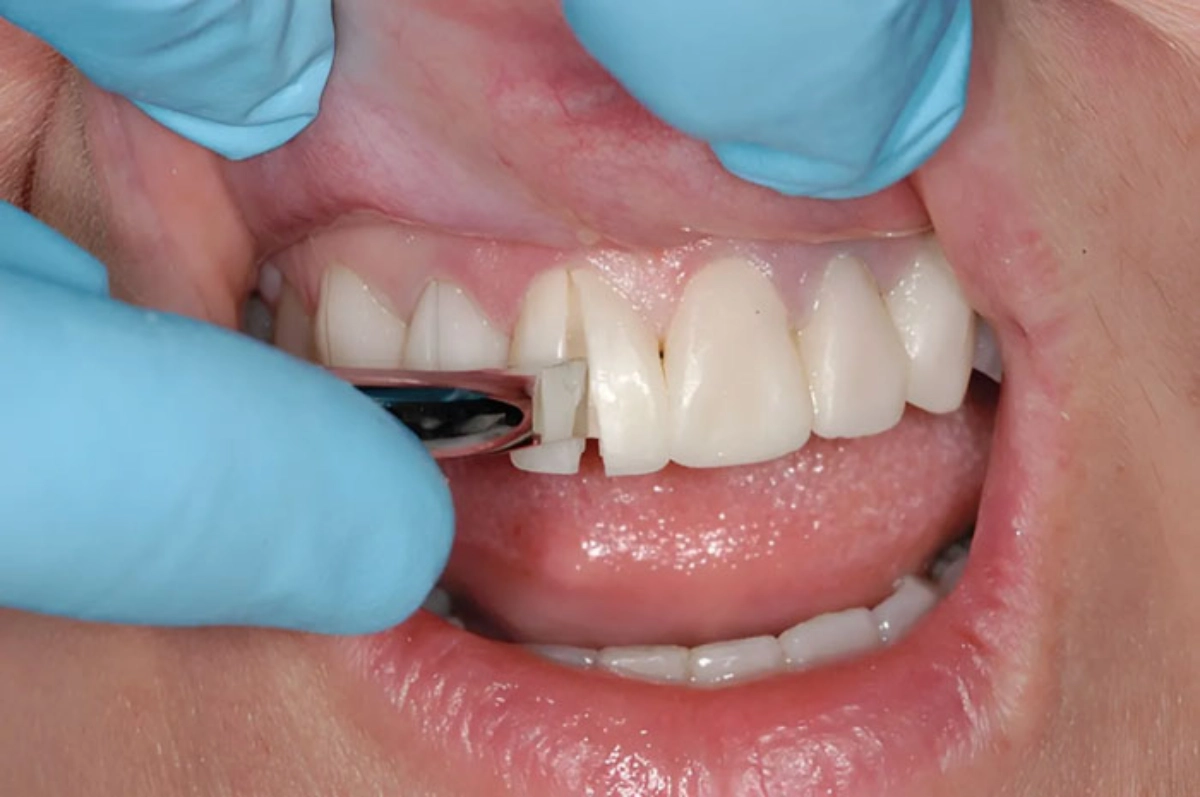
- Gây tê và tháo mão sứ cũ: Bác sĩ tiến hành gây tê tại chỗ để bạn hoàn toàn thoải mái. Sau đó, sử dụng dụng cụ chuyên dụng để cắt và tháo mão sứ cũ một cách nhẹ nhàng, bảo tồn tối đa cùi răng thật.
- Vệ sinh và sửa soạn cùi răng: Cùi răng thật sẽ được làm sạch hoàn toàn. Nếu có vấn đề bệnh lý như sâu răng, viêm tủy, bác sĩ sẽ điều trị triệt để trước khi sửa soạn lại (nếu cần).
- Lấy dấu răng: Sử dụng công nghệ scan 3D hiện đại để lấy dấu răng chính xác, phục vụ cho việc chế tác răng sứ và gắn răng tạm cho bệnh nhân.
- Thiết kế nụ cười: Bạn sẽ được xem trước kết quả nụ cười sau khi bọc răng sứ thông qua phần mềm Digital Smile Design.
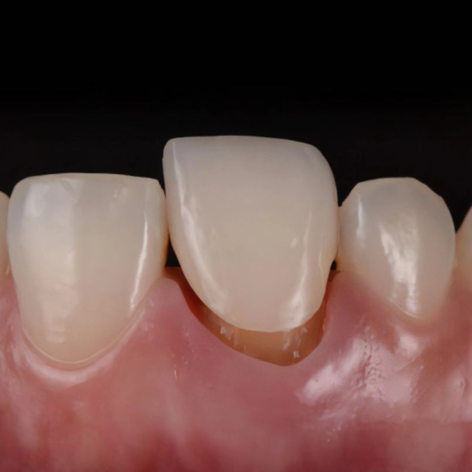
- Chế tác mão sứ mới tại Labo: Sử dụng công nghệ CAD/CAM để thiết kế và chế tác mão răng sứ mới, đảm bảo màu sắc tự nhiên, hình thể hài hòa và độ khít sát hoàn hảo. Quá trình này thường chỉ mất 1 - 2 ngày.
- Gắn mão sứ mới và tinh chỉnh: Sau khi ướm thử răng sứ, kiểm tra độ khít sát, hình dáng, màu sắc răng sứ và khớp cắn, nếu bạn đã cảm thấy hài lòng, bác sĩ sẽ tiến hành gắn cố định lên răng của bạn.
- Tái khám định kỳ: Bác sĩ hướng dẫn bạn cách chăm sóc răng miệng sau khi bọc răng sứ, đồng thời hẹn lịch tái khám để theo dõi kết quả.

Quy trình bọc lại răng sứ tại nha khoa Dentos thường chỉ cần 2 lần hẹn, diễn ra nhẹ nhàng, an toàn và mang lại kết quả thẩm mỹ, chức năng vượt trội so với răng sứ cũ.
Như vậy, việc làm lại răng sứ cũ là hoàn toàn có thể và thường mang lại hiệu quả rất tích cực cả về thẩm mỹ lẫn sức khỏe nếu bạn gặp các vấn đề với răng sứ hiện tại. Quá trình tháo răng sứ cũ và bọc lại răng sứ mới không hề đáng sợ nếu được thực hiện tại nha khoa uy tín với bác sĩ giỏi và công nghệ hiện đại. Đừng ngần ngại "nâng cấp" nụ cười của mình để tự tin và thoải mái hơn trong cuộc sống. Đầu tư làm lại răng sứ chất lượng là đầu tư cho sức khỏe và sự tự tin lâu dài của bạn. Liên hệ ngay với nha khoa Dentos để được các bác sĩ Chuyên Khoa II tư vấn miễn phí và chi tiết!
Xem thêm:





