Làm răng sứ không mài răng được không?
Làm răng sứ là một phương pháp phục hình răng thẩm mỹ được ưa chuộng hiện nay nhằm cải thiện nụ cười và khả năng ăn nhai cho người bệnh. Tuy nhiên, việc mài răng trước khi bọc sứ lại là vấn đề lớn khiến không ít người lo ngại rằng sẽ ảnh hưởng đến sức khỏe răng miệng sau này. Vậy liệu muốn làm răng sứ nhưng không mài răng có được không? Hãy cùng nha khoa Dentos khám phá trong bài viết dưới đây nhé!
1. Sự thật về việc mài răng khi làm răng sứ
Khi làm răng sứ, nha sĩ sẽ mài chỉnh xung quanh răng nhằm 2 mục đích chính là điều chỉnh kích thước, dáng răng và tạo độ bám dính cho mão răng mới. Phần mô răng được mài đi thường có độ dày từ 1 - 2mm tùy theo từng trường hợp cụ thể sao cho đảm bảo khả năng chịu lực và tính thẩm mỹ cao nhất.
Đứng trước việc mài răng khi chụp sứ, nhiều người tỏ ra sợ hãi và thường dặn dò nha sĩ đừng mài nhiều quá sẽ làm răng bị yếu đi. Tuy nhiên, sự thật là không có nha sĩ nào muốn mài nhiều răng của bạn, mà ngược lại luôn nỗ lực bảo tồn tối đa cấu trúc răng thật cho người bệnh.

Hiện nay, với sự hỗ trợ của các thiết bị, công nghệ hiện đại, việc đo lường các thông số như chiều dài răng, góc răng hay kẽ hở giữa các răng trở nên dễ dàng và chính xác, từ đó giúp tính toán tỷ lệ răng cần mài phù hợp nên bạn hoàn toàn có thể yên tâm.
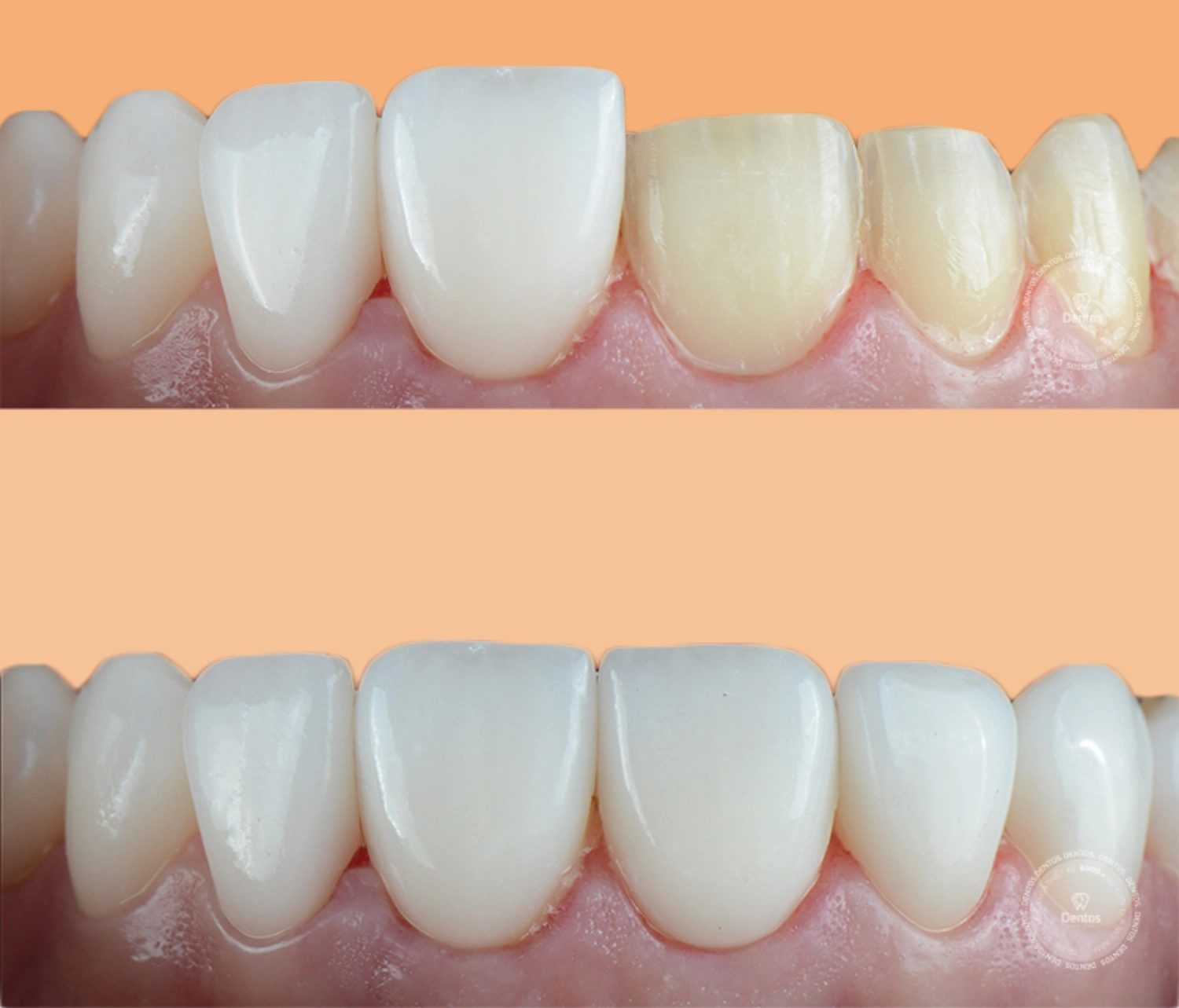
2. Làm răng sứ không mài răng được không?
Nếu bạn vẫn không muốn mài răng khi làm răng sứ, bạn có thể tham khảo phương pháp dán sứ Veneer. Đây là kỹ thuật bọc sứ tiên tiến với việc sử dụng một lớp sứ siêu mỏng nhẹ (dưới 0,5mm) dán lên mặt trước và rìa cắn của răng, giúp che lấp khuyết điểm và mang lại cho hàm răng diện mạo mới.

Khi dán sứ Veneer, nếu răng của bạn thưa nhiều thì nha sĩ sẽ không mài răng. Trong những trường hợp khác, nha sĩ chỉ cần sửa soạn rất nhẹ bề mặt ngoài của răng để loại bỏ đi vi khuẩn, mảng bám, tạo khoảng trống bọc răng, không vi phạm khoảng sinh học cũng như giúp mặt dán bám dính tốt hơn. Tuy nhiên, phương pháp dán sứ Veneer sẽ chỉ thực sự hiệu quả khi bạn có cung răng đều đẹp sẵn nhưng gặp một số vấn đề như:
- Răng bị xỉn màu, ố vàng hoặc nhiễm kháng sinh nhẹ.
- Dáng răng không hài hòa vì thô, to, nhỏ, ngắn, dài…
- Răng sứt mẻ nhỏ; mòn cạnh nhẹ; răng thưa nhưng khoảng cách giữa các răng không quá 2mm.
Đặc biệt, bạn cũng phải đảm bảo không gặp các vấn đề về lệch khớp cắn, khớp cắn đối đầu, răng chết tủy hoặc thiểu sản men răng, khiến cấu trúc men răng yếu, răng đen sậm.
3. Nha khoa Dentos - Địa chỉ bọc răng sứ chính hãng uy tín tại TP.HCM
Nha khoa Dentos sở hữu 3 chi nhánh tại TP.HCM đã được hơn 30.000 khách hàng tin tưởng và thành công kiến tạo hơn 8.000 nụ cười hoàn mỹ mỗi năm.
Với hệ thống thiết bị, công nghệ hiện đại cùng đội ngũ bác sĩ giỏi chuyên môn, giàu kinh nghiệm, chúng tôi cam kết quy trình bọc răng sứ được đảm bảo vô trùng, an toàn, hiệu quả và không đau đớn. Từ các dòng răng sứ đến mặt dán Veneer đều được nhập khẩu từ Đức, Mỹ, Ý, Nhật Bản kèm theo thẻ bảo hành chính hãng.
Khách hàng Lan Trinh chia sẻ về trải nghiệm dán sứ Veneer tại nha khoa Dentos
Đặc biệt, dịch vụ khách hàng tại nha khoa Dentos luôn tận tâm, chu đáo cả trước, trong và sau quá trình phục hình, sẵn sàng đồng hành cùng bạn chăm sóc răng miệng cho nụ cười bền đẹp trọn đời. Hãy đến nha khoa Dentos ngay hôm nay để được thăm khám và tư vấn bọc răng sứ hoàn toàn miễn phí!
Xem thêm:





