Làm răng sứ: Nụ cười đẹp hay sức khỏe nguy?
Bạn nghĩ làm răng sứ chỉ là chuyện làm đẹp? Có lẽ nhiều người cũng từng nghĩ như vậy cho đến khi chính họ gặp những vấn đề sức khỏe răng miệng nghiêm trọng như nướu sưng đỏ, đau nhức kéo dài chỉ vì ham rẻ và chọn sai địa chỉ làm răng sứ.
Chính vì vậy, câu hỏi "Làm răng sứ có hại sức khỏe không?" luôn là thắc mắc hàng đầu mà chúng tôi nhận được từ những khách hàng quan tâm đến dịch vụ này. Thấu hiểu nỗi lo đó, Nha khoa Dentos sẽ bật mí sự thật mà không phải nha khoa nào cũng dám nói: Làm răng sứ không chỉ là thẩm mỹ, nó quyết định sức khỏe lâu dài của bạn!
1. Hiểm họa tiềm ẩn do ham rẻ khi làm răng sứ
Hãy hình dung những rủi ro sức khỏe có thể xảy ra nếu bạn lựa chọn làm răng sứ tại một cơ sở nha khoa không uy tín, chỉ vì mức giá rẻ:
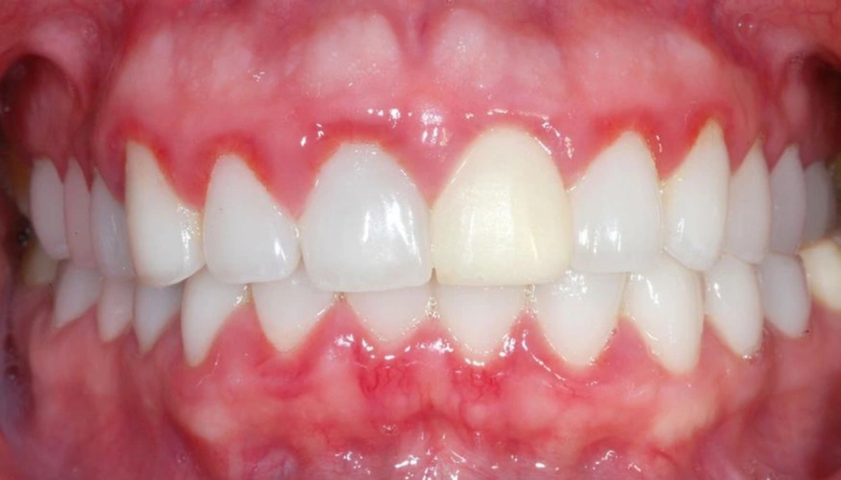
- Nguy cơ viêm nướu mãn tính: Răng sứ không rõ nguồn gốc, trôi nổi trên thị trường thường chứa tạp chất có thể gây kích ứng nướu, dẫn đến tình trạng viêm đỏ, sưng tấy kéo dài, thậm chí gây hôi miệng dai dẳng, ảnh hưởng đến chất lượng cuộc sống của người dùng.

- Nguy cơ tổn thương tủy răng, mất răng vĩnh viễn: Bác sĩ thiếu kinh nghiệm, mài răng không đúng kỹ thuật, xâm lấn quá nhiều vào cấu trúc răng thật, đặc biệt là phần tủy răng nhạy cảm, là tiền đề cho những cơn ê buốt răng kéo dài, viêm tủy răng, và trong trường hợp nghiêm trọng nhất, có thể dẫn đến mất răng vĩnh viễn.
- Nguy cơ rối loạn khớp thái dương hàm: Răng sứ được chế tác không đảm bảo độ chính xác về khớp cắn có thể gây ra sự mất cân bằng giữa hàm trên và hàm dưới. Tình trạng sai khớp cắn kéo dài có thể dẫn đến đau khớp thái dương hàm, gây khó khăn trong ăn nhai, mòn răng, và ảnh hưởng đến giấc ngủ, thậm chí gây ra những cơn đau đầu mãn tính do áp lực lên hệ thần kinh.

- Nguy cơ sâu răng tái phát và viêm nhiễm lan rộng: Nếu kỹ thuật lắp răng sứ không chuẩn xác, viền răng sứ không khít sát với nướu, sẽ tạo ra những khe hở li ti. Đây chính là điểm yếu để vi khuẩn dễ dàng xâm nhập, gây sâu răng tái phát, viêm nhiễm nướu và các tổ chức quanh răng, đe dọa sức khỏe răng miệng một cách nghiêm trọng.
Những hiểm họa tiềm ẩn này không chỉ ảnh hưởng đến thẩm mỹ nụ cười mà còn tác động tiêu cực đến sức khỏe răng miệng và sức khỏe tổng thể của bạn. Nha khoa Dentos tin rằng, khách hàng cần được biết sự thật về những rủi ro này để có thể đưa ra quyết định sáng suốt nhất cho sức khỏe của mình.
2. Nha khoa Dentos – Kiến tạo nụ cười khỏe đẹp, an toàn bền vững
Tin vui là bạn hoàn toàn có thể an tâm làm răng sứ nếu chọn đúng địa chỉ uy tín. Tại Nha khoa Dentos, chúng tôi đặt sức khỏe của khách hàng lên hàng đầu và cam kết mang đến dịch vụ chất lượng vượt trội. Đúng là làm răng sứ tại Dentos có thể đắt hơn so với những nơi giá rẻ, nhưng đây chắc chắn là khoản đầu tư xứng đáng cho nụ cười và sức khỏe lâu dài của bạn với những ưu điểm vượt trội:
- Vật liệu sứ chính hãng, tương thích sinh học: Nha khoa Dentos chỉ sử dụng vật liệu sứ nhập khẩu chính hãng từ các thương hiệu nha khoa hàng đầu thế giới như Đức, Mỹ, Ý... Răng sứ được chế tạo từ sứ nguyên khối cao cấp, 100% tương thích sinh học với cơ thể, đảm bảo không gây kích ứng nướu, an toàn tuyệt đối và bền đẹp theo thời gian. Có 6 dòng sứ cho bạn lựa chọn: Zirconia, HT Smile, DDBio, Orodent, Lava Esthetics và Cercon ht.

- Đội ngũ bác sĩ chuyên gia, kinh nghiệm dày dặn và liên tục được đào tạo nâng cao bởi các chuyên gia nước ngoài: Thăm khám và điều trị triệt để bệnh lý trước khi làm răng sứ, thực hiện mài răng theo tỷ lệ chuẩn, bảo tồn răng thật tối đa, quá trình bọc răng sứ diễn ra nhanh chóng, chính xác.
- Công nghệ CAD/CAM 3D: Tạo hình răng sứ chính xác đến từng micromet, đảm bảo khít sát hoàn hảo với răng thật, hài hòa khớp cắn, giúp bạn ăn nhai thoải mái và phòng tránh sai lệch khớp cắn.
- Quy trình vô trùng chuẩn mực quốc tế: Đảm bảo môi trường điều trị vô trùng tuyệt đối, loại bỏ hoàn toàn nguy cơ lây nhiễm chéo.
- Chế độ bảo hành uy tín lên đến trọn đời: Để khẳng định chất lượng dịch vụ và mang đến sự an tâm tuyệt đối cho khách hàng, Nha khoa Dentos cung cấp chính sách bảo hành răng sứ từ 5 năm lên đến trọn đời. Đây là cam kết mạnh mẽ cho trách nhiệm của chúng tôi với sức khỏe răng miệng lâu dài của bạn.
Làm răng sứ không chỉ là hành trình tìm kiếm vẻ đẹp thẩm mỹ, mà còn là quyết định đầu tư cho sức khỏe răng miệng về lâu dài. Lựa chọn đúng đắn sẽ kiến tạo nụ cười rạng rỡ và bảo vệ sức khỏe toàn diện của bạn. Ngược lại, một sai lầm nhỏ có thể đánh đổi bằng những hệ lụy khôn lường.

Nha khoa Dentos luôn đồng hành cùng bạn trên hành trình chinh phục nụ cười mơ ước một cách an toàn và bền vững. Hãy liên hệ Nha khoa Dentos ngay hôm nay để được chuyên gia tư vấn và thăm khám hoàn toàn miễn phí!
Xem thêm:





