Răng bể lớn bọc răng sứ được không?
Răng bị bể, mẻ, hoặc gãy vỡ không chỉ ảnh hưởng đến vẻ ngoài của răng mà còn có thể làm suy giảm sức khỏe răng miệng. Những vấn đề này có thể xuất phát từ nhiều nguyên nhân khác nhau nhưng vấn đề được quan tâm nhất là trường hợp này bọc răng sứ có được không? Hãy cùng nha khoa Dentos tìm hiểu nhé!
1. Nguyên nhân khiến răng bị bể, mẻ, gãy vỡ lớn?
Có nhiều nguyên nhân khiến răng bị bể, mẻ, gãy vỡ lớn, một số những nguyên nhân phổ biến là:
- Người bệnh gặp tai nạn không mong muốn khiến răng bị tác động mạnh.
- Người bệnh có thói quen ăn các đồ cứng và sử dụng răng để mở nắp chai.
- Người bệnh bị thiếu hụt canxi - dưỡng chất dùng để nuôi răng khiến răng bị mẻ vỡ khi có tác động.
- Răng mắc các vấn đề bệnh lý hoặc do thay đổi hoocmon bên trong cơ thể khiến răng mọc không hoàn thiện, có vết nứt, bể trên răng hoặc mất hoàn toàn men răng.

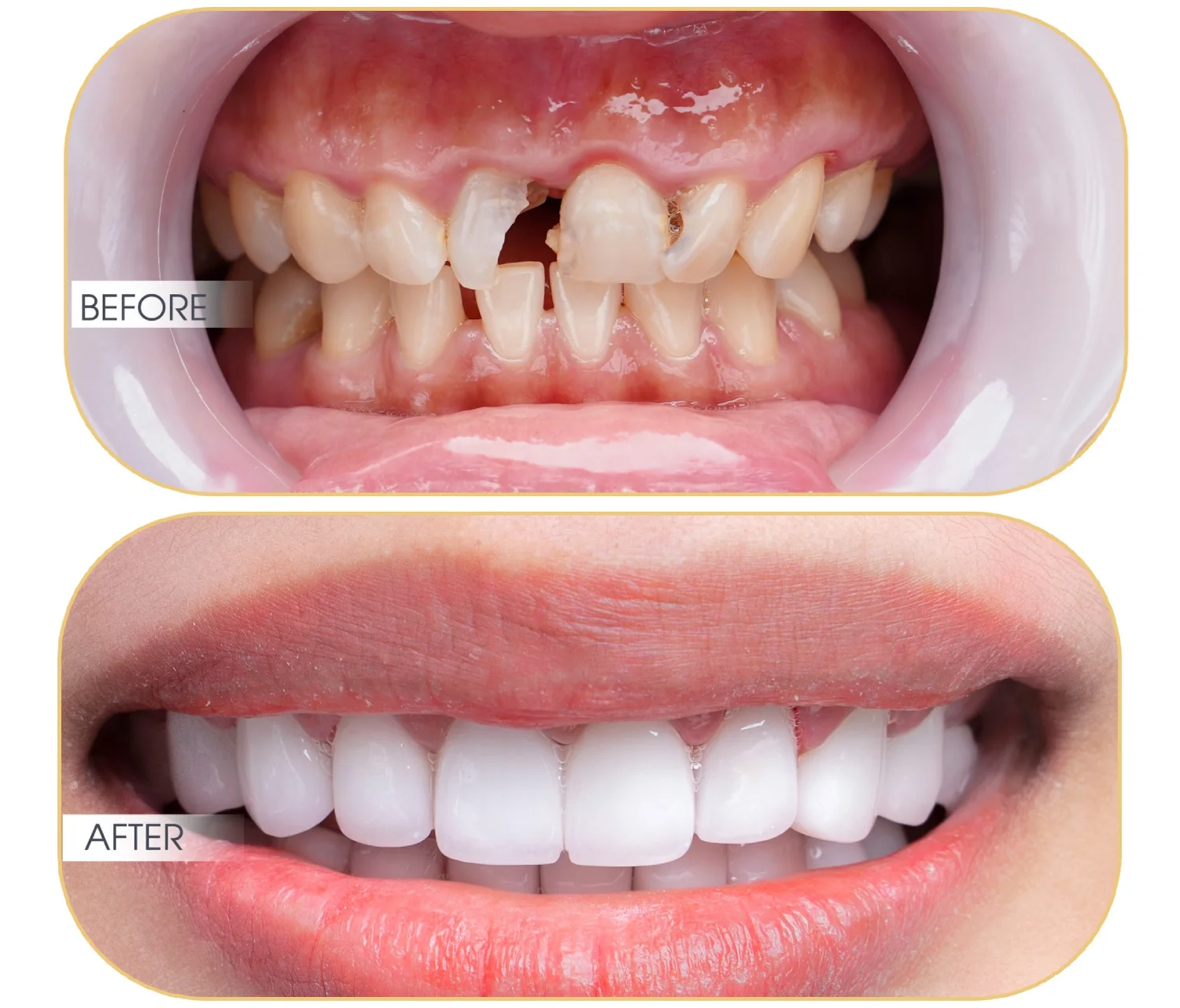
2. Răng bị bể lớn bọc răng sứ được không?
Khi răng bị bể lớn, bọc răng sứ là giải pháp giúp khắc phục tình trạng này tốt hơn nhiều so với phương pháp trám răng. Tuy nhiên, nha sĩ cần phải thăm khám và kiểm tra độ tổn thương của răng. Từ đó, sẽ đưa ra quyết định có nên bọc sứ hay không. Nếu răng không hư tổn quá nhiều, chân răng chưa bị tổn thương nặng thì nha sĩ sẽ chỉ định bọc răng sứ để ngăn chặn vi khuẩn xâm lấn vào các răng kế cận.
Nếu bị hư tổn nhiều, nha sĩ phải tiến hành nhổ bỏ răng để bảo vệ răng lân cận, trong trường hợp này, bạn có thể trồng răng Implant và bọc răng sứ lên trên để cải thiện chức năng ăn nhai.
3. Lợi ích khi bọc răng sứ cho răng bể lớn
- Cải thiện thẩm mỹ, giúp khôi phục lại cấu trúc răng với màu sắc, hình dáng giống với răng thật nhất.
- Phục hồi ăn nhai, giảm thiểu tình trạng ê buốt, khó chịu khi ăn uống.
- Bảo vệ răng khỏi vi khuẩn xâm nhập, ngăn ngừa các bệnh lý về răng miệng một cách toàn diện.
- Thời gian sử dụng lâu dài từ 20 năm hoặc lên tới trọn đời nếu được chăm sóc đúng cách.
4. Bọc răng sứ cho răng bể lớn ở đâu tốt?
Việc lựa chọn địa chỉ uy tín để bọc răng sứ là điều vô cùng quan trọng để đảm bảo kết quả tốt nhất, và nha khoa Dentos chính là một trong những lựa chọn hàng đầu dành cho bạn. Với các dòng răng sứ đa dạng, chất lượng cao, được nhập khẩu chính hãng (Orodent, Cercon, Lava Esthetic, HT Smile...), cùng đội ngũ nha sĩ giàu kinh nghiệm, có chuyên môn cao, nha khoa Dentos cam kết đem đến cho bạn phương án điều trị tốt nhất. Đồng thời, sự hỗ trợ của các trang thiết bị hiện đại, công nghệ tiên tiến nhất sẽ giúp cho quy trình bọc sứ được thực hiện chính xác và hiệu quả mà không gây ra các biến chứng không mong muốn.

Hãy đến nha khoa Dentos ngay hôm nay để được thăm khám và tư vấn hoàn toàn miễn phí!
Xem thêm





