Răng lung lay bọc răng sứ được không?
Bạn đang lo lắng vì chiếc răng lung lay, không biết liệu có giữ được nụ cười tự tin? Đừng quá lo lắng! Tại Nha khoa Dentos, chúng tôi hiểu rằng câu hỏi 'Răng lung lay bọc răng sứ được không?' là một trong những băn khoăn hàng đầu. Tùy vào tình trạng cụ thể, chúng tôi có thể mang đến giải pháp phù hợp, từ việc bọc răng sứ đến cấy ghép Implant. Hãy cùng Dentos tìm hiểu rõ hơn để bạn có thể yên tâm lựa chọn phương pháp tối ưu nhất.
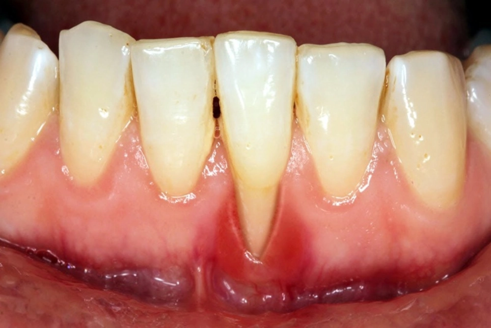
1. Tại sao răng lung lay và để lâu thì sao?
Răng lung lay thường do bệnh nha chu, viêm lợi, sâu răng nặng hoặc chấn thương làm tổn thương nướu và xương hàm. Thói quen vệ sinh răng miệng chưa đúng cách cũng góp phần làm tích tụ vôi răng, lâu dần gây tụt nướu và làm răng yếu đi.

Nếu không điều trị kịp thời, răng lung lay có thể gãy rụng bất cứ lúc nào, ảnh hưởng đến thẩm mỹ và khả năng ăn nhai. Nghiêm trọng hơn, mất răng sẽ dẫn đến tiêu xương hàm, nướu co lại, khiến khuôn mặt có thể trở nên hóp và già hơn. Các răng còn lại cũng có xu hướng nghiêng về phía khoảng trống, làm xô lệch khớp cắn.
Tuy nhiên, bạn đừng quá lo lắng, vì nha khoa Dentos luôn có những giải pháp hiệu quả để giúp bạn khắc phục tình trạng này, chỉ cần bạn hành động sớm và chọn giải pháp đúng mà thôi.
2. Răng lung lay bọc răng sứ được không?
Răng lung lay bọc răng sứ được không? Câu trả lời không đơn giản là "có" hay "không", mà phụ thuộc vào mức độ lung lay và tình trạng răng miệng của bạn.
2.1. Trường hợp răng lung lay nhẹ
Nếu răng chỉ lung lay nhẹ, ví dụ do viêm lợi, viêm nha chu giai đoạn đầu, hoặc chấn thương nhỏ – bọc răng sứ hoàn toàn khả thi sau khi điều trị ổn định. Theo đó, nha sĩ Dentos sẽ:
- Cạo vôi răng để loại bỏ mảng bám và vi khuẩn.
- Điều trị viêm nướu bằng thuốc chuyên dụng.
- Trong một số trường hợp cần thiết, nha sĩ sẽ sử dụng kỹ thuật cố định răng tạm thời để giúp răng chắc chắn hơn.
- Khi nướu ổn định và chân răng còn đủ khỏe, nha sĩ sẽ tiến hành bọc răng sứ để vừa cải thiện thẩm mỹ, vừa giúp bạn ăn nhai tốt hơn.
Lúc này, bọc răng sứ toàn phần là lựa chọn tối ưu nhờ độ bền cao, khả năng chịu lực tốt và không gây đen viền nướu như sứ kim loại.

Nhưng không phải lúc nào cũng đơn giản như vậy. Nếu răng lung lay nhẹ mà sâu quá nhiều, ăn mòn chân răng, hoặc xương hàm bắt đầu yếu, bọc răng sứ có thể không đủ sức giữ răng lâu dài. Lúc này, nha sĩ cần đánh giá kỹ hơn để tránh lãng phí thời gian và tiền bạc của bệnh nhân.
2.2. Trường hợp răng lung lay nặng
Nếu răng lung lay mạnh, kèm đau nhức và xương hàm tổn thương nghiêm trọng, việc bọc răng sứ không phải là giải pháp phù hợp. Lúc này, các bác sĩ sẽ khuyên bạn nhổ răng để ngăn nhiễm trùng lan sang răng khác, sau đó tư vấn các giải pháp thay thế:
- Implant: Trụ titanium được cấy vào xương hàm thay thế chân răng đã mất. Implant có độ bền cao, chịu lực tốt và ngăn ngừa tiêu xương hàm. Sau khi trụ đã chắc chắn, nha sĩ sẽ bọc răng sứ lên trên để phục hồi thẩm mỹ và chức năng ăn nhai.

- Cầu sứ: Sử dụng răng thật hai bên làm trụ nâng đỡ mão răng giả ở giữa. Cầu răng sứ chỉ giúp khôi phục thẩm mỹ và chức năng ăn nhai tạm thời, không thể thay thế chân răng. Về lâu dài, vị trí này dễ bị tiêu xương và xô lệch răng kế cận.
3. Xử lý răng lung lay an toàn, chất lượng tại nha khoa Dentos
Tại Nha khoa Dentos, chúng tôi tự hào với đội ngũ bác sĩ giàu kinh nghiệm và công nghệ hiện đại như CT Cone Beam – hệ thống chụp X-quang 3D tiên tiến, giúp chẩn đoán chính xác mức độ lung lay, tình trạng nướu và xương hàm. Nhờ vậy, chúng tôi xác định rõ bạn phù hợp với bọc răng sứ hay cần nhổ và trồng Implant, tránh sai sót trong điều trị.

Với thành tựu là Top 1 tiêu thụ răng sứ Orodent và Cercon tại Việt Nam, chúng tôi cam kết chỉ sử dụng răng sứ chính hãng cao cấp, đảm bảo độ bền, màu sắc tự nhiên, không gây kích ứng. Ngoài ra, các trụ Implant cao cấp tại nha khoa Dentos được nhập khẩu từ các thương hiệu uy tín trên thế giới, tích hợp tốt với xương hàm, mang lại kết quả bền đẹp, hạn chế tối đa biến chứng như tiêu xương hay nhiễm trùng. Mọi quy trình đều được thực hiện cẩn thận, từ thăm khám đến điều trị, để bạn yên tâm với sức khỏe răng miệng lâu dài.
Đừng để những chiếc răng lung lay làm bạn lo lắng, mất tự tin. Liên hệ nha khoa Dentos ngay hôm nay để được thăm khám, tư vấn miễn phí và khôi phục lại hàm răng khỏe đẹp!
Xem thêm:
Các loại răng sứ phổ biến hiện nay và ưu nhược điểm từng loại





