Răng sứ loại nào tốt nhất? So sánh ưu nhược điểm từng loại
Khi quyết định bọc răng sứ, bạn sẽ đứng trước rất nhiều lựa chọn về vật liệu, từ truyền thống đến hiện đại. Mỗi loại đều có những đặc tính riêng, vậy làm sao để biết đâu là giải pháp tối ưu cho nụ cười của bạn?
Nha khoa Dentos hiểu rằng việc lựa chọn đúng loại răng sứ không chỉ ảnh hưởng đến vẻ đẹp nụ cười mà còn tác động trực tiếp đến sức khỏe răng miệng và sự thoải mái lâu dài. Bài viết này sẽ giúp bạn phân tích rõ ràng ưu, nhược điểm của các loại răng sứ phổ biến, từ đó đưa ra lựa chọn phù hợp nhất.
1. Phân Loại Răng Sứ Phổ Biến Hiện Nay
Để dễ hình dung, chúng ta có thể phân loại răng sứ dựa trên cấu tạo vật liệu thành 2 nhóm chính:
- Nhóm 1 - Răng sứ có sườn kim loại bên trong: Bao gồm răng sứ kim loại thường, răng sứ Titan và răng sứ kim loại quý. Lớp sườn chịu lực bên trong được làm từ hợp kim, sau đó phủ lớp sứ thẩm mỹ bên ngoài.
- Nhóm 2 - Răng toàn sứ: Được chế tác hoàn toàn từ các loại sứ nha khoa cao cấp (như Zirconia, Lithium Disilicate...), không chứa kim loại. Mặt dán sứ Veneer cũng thuộc nhóm này nhưng có cấu trúc và cách phục hình khác biệt.

2. Nhóm 1: Răng Sứ Sườn Kim Loại - Giải Pháp Truyền Thống & Hạn Chế
Răng sứ sườn kim loại là thế hệ răng sứ ra đời sớm nhất, từng phổ biến nhờ chi phí thấp. Tuy nhiên, ngày nay nhóm này dần ít được ưa chuộng do bộc lộ nhiều hạn chế đáng kể:
2.1. Răng sứ kim loại thường (Hợp kim Ni-Cr, Co-Cr)
- Ưu điểm: Chi phí thấp nhất trong các loại răng sứ. Độ chịu lực ở mức chấp nhận được cho răng hàm.
- Nhược điểm:
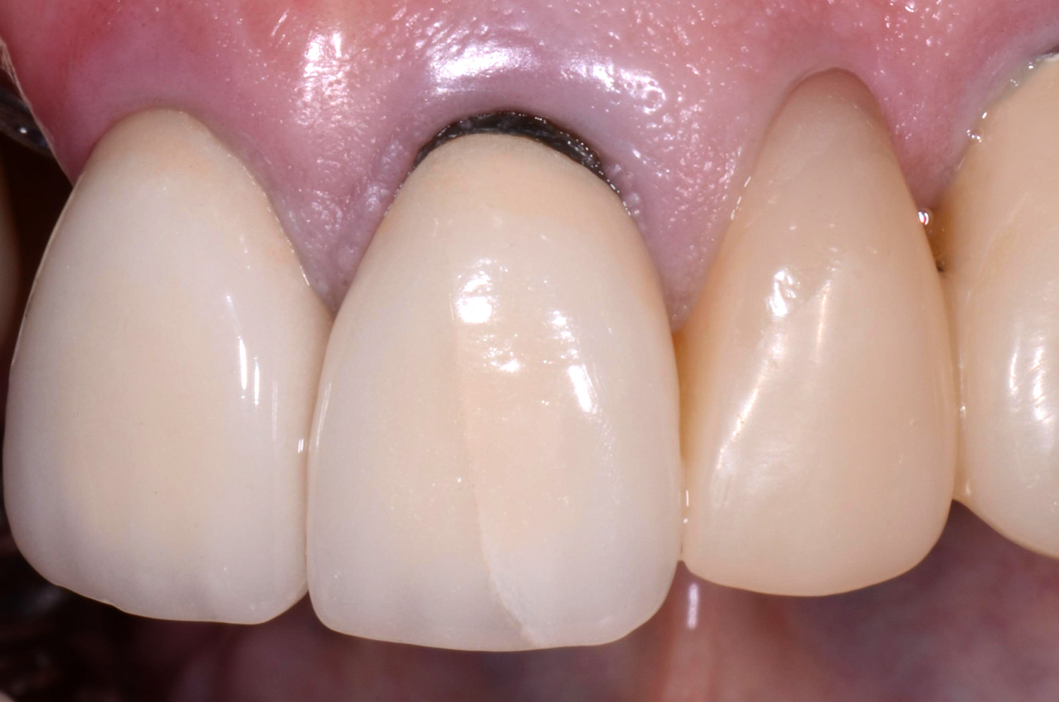
- Thẩm mỹ rất kém: Lớp sứ bên ngoài thường có màu trắng đục, thiếu độ trong tự nhiên như răng thật. Nghiêm trọng hơn, phần khung kim loại bên trong (đặc biệt là hợp kim Niken-Crom) dễ bị oxy hóa do tác động của axit trong môi trường miệng, không chỉ gây đen viền nướu rất mất thẩm mỹ, mà còn có thể gây kích ứng mô nướu ở những người nhạy cảm với kim loại. Khi có ánh sáng mạnh chiếu qua, răng dễ bị lộ ánh đen kim loại bên trong.

- Mài răng nhiều: Để che được màu sẫm của khung kim loại, lớp sứ bên ngoài phải đủ dày, đồng nghĩa với việc bác sĩ phải mài đi một lượng lớn mô răng thật (thường là 1.5 - 2mm), làm răng gốc yếu đi.
- Tuổi thọ ngắn: Thường chỉ kéo dài khoảng 5-7 năm, sau đó cần phải thay thế.
2.2. Răng sứ Titan / Kim loại quý (Vàng, Platin, Palladium...)
- Ưu điểm: Sử dụng khung sườn bằng hợp kim Titan hoặc kim loại quý giúp cải thiện tính tương thích sinh học. Titan khá lành tính, ít gây kích ứng hơn hợp kim thường. Kim loại quý (đặc biệt là vàng) có tính sát khuẩn tốt, không bị oxy hóa nên không gây đen viền nướu. Sứ Titan cũng nhẹ hơn sứ kim loại thường.

- Thẩm mỹ vẫn hạn chế: Mặc dù không đen viền nướu (với kim loại quý), nhưng sự hiện diện của lớp sườn kim loại bên trong vẫn cản trở ánh sáng xuyên qua, khiến răng sứ thiếu độ trong và chiều sâu tự nhiên, màu sắc vẫn có phần đục và có thể phản chiếu ánh kim loại.
- Vẫn cần mài răng nhiều: Tương tự sứ kim loại thường.
- Chi phí: Sứ Titan có giá cao hơn sứ kim loại thường. Sứ kim loại quý thì rất đắt đỏ, phụ thuộc lớn vào thời giá.
Tổng kết nhóm 1: Mặc dù có ưu thế về giá (với sứ kim loại thường và Titan), nhóm răng sứ sườn kim loại bộc lộ quá nhiều nhược điểm về thẩm mỹ lâu dài và mức độ bảo tồn răng thật. Đây không còn là lựa chọn được các chuyên gia khuyến nghị trong nha khoa hiện đại.
3. Nhóm 2: Răng Toàn Sứ - Xu Hướng Hiện Đại Cho Nụ Cười Hoàn Hảo
Khắc phục hoàn toàn các nhược điểm của răng sứ kim loại, răng toàn sứ đang là lựa chọn hàng đầu nhờ những ưu điểm vượt trội về mọi mặt:
3.1. Răng Toàn Sứ (Mão răng - Crown)
- Cấu tạo: Được tiện nguyên khối từ các vật liệu sứ nha khoa tiên tiến như Zirconia (độ cứng siêu việt) hay Lithium Disilicate - Emax (thẩm mỹ đỉnh cao).
- Ưu điểm vượt trội:
- Thẩm mỹ hoàn hảo: Đây là ưu điểm lớn nhất. Răng toàn sứ có độ trong mờ, màu sắc, vân răng và khả năng phản quang y hệt răng thật. Ánh sáng có thể xuyên qua như men răng tự nhiên, tạo hiệu ứng sống động, không hề có ánh xám kim loại hay viền đen ở nướu.

- Siêu bền và chịu lực tốt: Đặc biệt là sứ Zirconia, có độ cứng gấp 5-10 lần răng thật, đảm bảo ăn nhai thoải mái các loại thức ăn mà không lo nứt vỡ.
- An toàn sinh học tuyệt đối: Vật liệu sứ 100% lành tính, tương thích hoàn hảo với mô nướu và môi trường miệng, không gây bất kỳ phản ứng dị ứng hay kích ứng nào.
- Bảo tồn răng thật tối đa: Nhờ độ cứng cao và công nghệ chế tác chính xác, mão răng toàn sứ có thể làm mỏng hơn (chỉ cần mài 0.6 - 1.5mm mô răng), giúp bảo tồn tối đa cấu trúc răng gốc khỏe mạnh.
- Độ chính xác và khít sát cao: Chế tác bằng công nghệ CAD/CAM kỹ thuật số đảm bảo mão sứ khít sát hoàn hảo với cùi răng, ngăn chặn vi khuẩn và thức ăn lọt vào gây sâu răng tái phát hay viêm nướu.
- Tuổi thọ rất cao: Trung bình từ 15-20 năm, thậm chí có thể là trọn đời nếu được chăm sóc đúng cách.
- Nhược điểm: Chi phí đầu tư ban đầu cao hơn so với các loại sứ kim loại. Yêu cầu nha khoa phải có hệ thống trang thiết bị hiện đại và bác sĩ thực hiện phải có tay nghề cao, am hiểu về vật liệu.
Răng toàn sứ là tiêu chuẩn vàng cho phục hình mão răng hiện nay, mang lại sự cân bằng hoàn hảo giữa thẩm mỹ, chức năng và sức khỏe lâu dài.
3.2. Mặt Dán Sứ Veneer:
- Cấu tạo: Là một kỹ thuật khác biệt, sử dụng những lớp sứ siêu mỏng (0.2 - 0.5mm), được thiết kế và chế tác riêng theo hình dáng, màu sắc mong muốn, sau đó dán cố định lên bề mặt ngoài của răng bằng vật liệu dán chuyên dụng.
- Ưu điểm:
- Siêu bảo tồn răng thật: Đây là ưu điểm lớn nhất. Bác sĩ chỉ cần mài một lớp rất mỏng trên bề mặt men răng (hoặc thậm chí không cần mài trong một số trường hợp), bảo tồn gần như nguyên vẹn cấu trúc răng gốc.

- Thẩm mỹ tự nhiên tối đa: Mang lại vẻ đẹp tinh tế, độ trong bóng và màu sắc hài hòa như men răng thật, giúp thay đổi hình dáng và màu sắc răng hiệu quả.
- Không gây ê buốt: Do tác động lên răng cực kỳ ít.
- Nhược điểm:
- Chỉ định khá hạn chế: Veneer không phù hợp cho các trường hợp răng bị lệch lạc, hô, móm nhiều, khớp cắn bất lợi (đối đầu, cắn chéo), răng bị vỡ lớn, nhiễm màu Tetracycline nặng hoặc người có tật nghiến răng mạnh (nguy cơ bong, vỡ mặt dán).
- Chi phí cao: Thường tương đương hoặc cao hơn răng toàn sứ Zirconia cao cấp do yêu cầu vật liệu sứ thủy tinh đặc biệt (như Emax) và kỹ thuật thực hiện đòi hỏi sự tỉ mỉ, chính xác tuyệt đối.
Veneer là giải pháp thẩm mỹ siêu bảo tồn số 1, lựa chọn lý tưởng để cải thiện thẩm mỹ cho những hàm răng tương đối đều đặn, khớp cắn tốt và không có các vấn đề phức tạp.
4. Bảng So Sánh Nhanh Các Loại Răng Sứ
Để dễ hình dung, bạn có thể tham khảo bảng tóm tắt sau:

5. Lựa Chọn Răng Sứ Nào Phù Hợp Nhất Với Bạn?
Qua phân tích trên, chúng ta có thể thấy mỗi loại răng sứ đều có vị trí riêng. Việc lựa chọn không có công thức chung "tốt nhất", mà phải là "phù hợp nhất" dựa trên sự cân nhắc kỹ lưỡng các yếu tố sau:
- Vị trí răng cần phục hình: Răng cửa đòi hỏi thẩm mỹ cao nhất, bạn nên ưu tiên răng toàn sứ hoặc Veneer. Răng hàm phía trong cần khả năng chịu lực lớn, răng toàn sứ Zirconia là lựa chọn lý tưởng về độ bền.
- Tình trạng răng miệng: Mức độ hư tổn, màu sắc răng gốc, tình trạng khớp cắn, răng có bị lệch lạc nhiều không... là yếu tố quyết định nên làm mão sứ (Crown) hay mặt dán (Veneer), và chọn loại vật liệu nào. Ví dụ, răng vỡ lớn bắt buộc phải làm mão sứ, răng chỉ bị nhiễm màu nhẹ có thể làm Veneer.
- Mong muốn thẩm mỹ: Bạn muốn nụ cười trắng sáng nổi bật hay vẻ đẹp tự nhiên, hài hòa với các răng còn lại?
- Ngân sách đầu tư: Bạn hãy xem xét chi phí ban đầu trong mối tương quan với lợi ích lâu dài về thẩm mỹ, độ bền và sức khỏe. Đôi khi, lựa chọn rẻ nhất ban đầu lại tốn kém hơn về sau do phải sửa chữa hoặc thay thế sớm.
- Thăm khám và tư vấn chuyên sâu: Chỉ có bác sĩ nha khoa với kinh nghiệm và trang thiết bị chẩn đoán mới có thể đánh giá chính xác tình trạng răng của bạn, lắng nghe mong muốn và đưa ra lời khuyên về loại răng sứ phù hợp nhất, đảm bảo kết quả tối ưu và an toàn.

Nha khoa hiện đại luôn ưu tiên các giải pháp Toàn Sứ (Crown hoặc Veneer) vì những lợi ích vượt trội và tính an toàn lâu dài. Nên hạn chế tối đa việc lựa chọn răng sứ kim loại thường nếu có thể.
6. Nha Khoa Dentos - Đồng Hành Cùng Bạn Lựa Chọn Giải Pháp Tối Ưu
Tại Dentos, chúng tôi không chỉ đơn thuần thực hiện dịch vụ bọc răng sứ hay dán veneer. Chúng tôi đồng hành cùng bạn trên hành trình tìm lại nụ cười hoàn hảo. Với đội ngũ bác sĩ Chuyên khoa II giàu kinh nghiệm, luôn cập nhật kiến thức và kỹ thuật mới nhất, cùng hệ thống trang thiết bị chẩn đoán hình ảnh (Cone Beam CT) và công nghệ CAD/CAM hiện đại, chúng tôi đảm bảo quy trình thăm khám, tư vấn và điều trị diễn ra chính xác, an toàn và hiệu quả. Nha khoa Dentos cam kết chỉ sử dụng vật liệu răng toàn sứ chính hãng từ các thương hiệu hàng đầu thế giới, giúp bạn an tâm lựa chọn giải pháp phù hợp nhất.

Đặt lịch ngay để các chuyên gia tại Dentos tư vấn giải pháp phù hợp nhất dành riêng cho bạn hoàn toàn miễn phí!
Xem thêm:





