Răng vỡ lớn có bọc răng sứ được không?
Răng của bạn chẳng may bị vỡ lớn và bạn đang lo lắng không biết có giữ lại được không? Liệu bọc răng sứ có phải là giải pháp phù hợp để phục hồi chiếc răng của bạn? Hãy cùng Dentos tìm hiểu rõ hơn về vấn đề này nhé!
1. Răng vỡ lớn: Nguyên nhân và những ảnh hưởng không nhỏ
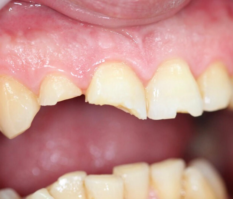
Răng vỡ lớn là tình trạng không hề hiếm gặp. Nguyên nhân có thể do bạn vô tình cắn phải vật cứng, gặp phải tai nạn khiến răng bị tổn thương, hoặc cũng có thể do sâu răng đã tiến triển nặng, ăn mòn đi phần lớn mô răng. Thêm vào đó, theo thời gian, men răng của chúng ta cũng có thể trở nên giòn và dễ vỡ hơn. Tình trạng này không chỉ ảnh hưởng thẩm mỹ mà còn gây ê buốt, khó khăn khi ăn nhai.

Nếu không điều trị kịp thời, ngà răng hoặc tủy răng bị lộ ra, tạo điều kiện cho vi khuẩn phát triển, làm sâu răng trầm trọng hơn. Thức ăn cũng dễ bị mắc kẹt vào chỗ răng vỡ, gây khó khăn trong việc vệ sinh và có thể ảnh hưởng đến các răng bên cạnh. Hơn nữa, việc bạn phải nhai lệch sang một bên để tránh chạm vào chiếc răng bị vỡ có thể gây áp lực lên các răng còn lại, lâu dần có thể dẫn đến mòn răng hoặc tổn thương khớp thái dương hàm. Chính vì vậy, bạn đừng chần chừ mà hãy tìm cách xử lý càng sớm càng tốt nhé!
2. Răng vỡ lớn có bọc răng sứ được không?
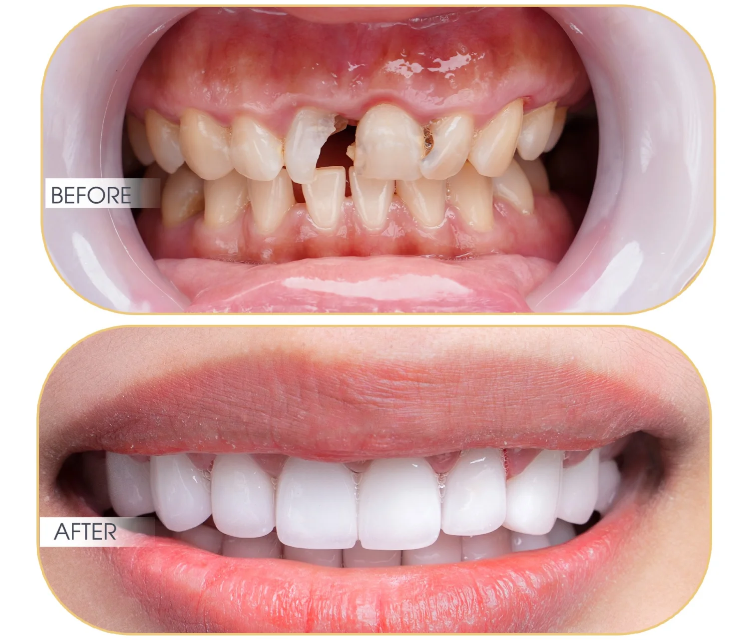
Răng vỡ lớn hoàn toàn có thể khắc phục được bằng phương pháp bọc răng sứ, miễn là chân răng của bạn còn khỏe mạnh, không bị lung lay hay tổn thương sâu. Tại Nha khoa Dentos, các bác sĩ sẽ kiểm tra bằng phim X-quang, nếu kết quả cho thấy chân răng vẫn ổn, đủ chắc chắn làm trụ đỡ cho mão răng sứ thì bạn hoàn toàn có thể giữ lại chiếc răng của mình.
Trường hợp răng mất trên 50% mô răng nhưng chân răng còn tốt, các bác sĩ sẽ phục hồi phần cùi răng bị mất trước bằng composite hoặc sử dụng chốt sợi tạo nền tảng vững chắc. Sau đó, bọc răng sứ lên trên giúp răng đẹp tự nhiên và khôi phục hoàn toàn chức năng ăn nhai chỉ trong 3 - 5 ngày.

Có lẽ bạn sẽ thắc mắc tại sao không trám răng bị vỡ lớn? Thực tế là do vật liệu trám khó có thể bám chắc khi phần răng còn lại quá ít. Điều này dễ dẫn đến tình trạng miếng trám bị bong ra khi bạn ăn nhai. Hơn nữa, về mặt thẩm mỹ, trám răng thường không thể mang lại vẻ đẹp tự nhiên như bọc răng sứ. Bọc răng sứ là một giải pháp bền vững và bảo vệ chiếc răng thật của bạn tốt hơn nhiều.
*** Lưu ý:
Tuy nhiên, cũng có những trường hợp răng vỡ lớn không phù hợp để bọc răng sứ. Đó là khi chân răng của bạn quá yếu, bị vỡ sâu xuống dưới nướu, hoặc xương hàm bị tổn thương nghiêm trọng. Trong những tình huống này, việc bọc răng sứ có thể không mang lại hiệu quả lâu dài, mão răng sứ có thể dễ bị bung ra và không đảm bảo độ bền.
Lúc này, giải pháp thay thế hiệu quả nhất thường là nhổ bỏ chiếc răng bị vỡ và cấy ghép Implant, giúp bạn ăn nhai thoải mái như răng thật, đồng thời ngăn ngừa tiêu xương hàm, giữ cho khuôn mặt của bạn không bị hóp lại. Nếu bạn chăm sóc đúng cách, Implant có thể sử dụng được trọn đời.
3. Nha khoa Dentos: Kiến tạo nụ cười hoàn hảo cho bạn
Tại Nha khoa Dentos, chúng tôi tự hào sở hữu những công nghệ tiên tiến hàng đầu, điển hình là hệ thống chụp CT Cone Beam hiện đại, giúp các bác sĩ đánh giá chính xác tình trạng chân răng và xương hàm của bạn. Bên cạnh đó, hệ thống thiết kế và chế tạo răng sứ CAD/CAM tiên tiến sẽ tạo ra những chiếc mão răng sứ có độ chính xác đến từng micromet, đảm bảo vừa khít và mang lại vẻ đẹp thẩm mỹ tối ưu cho nụ cười của bạn. Đội ngũ bác sĩ giàu kinh nghiệm của Dentos luôn tận tâm và tỉ mỉ trong từng bước điều trị, từ việc phục hồi cùi răng cho đến khi hoàn tất quá trình bọc răng sứ, cam kết mang đến cho bạn một hàm răng không chỉ đẹp mà còn chắc khỏe.

Chi phí bọc răng sứ tại Nha khoa Dentos cũng rất hợp lý chỉ từ 2,5 triệu đồng/răng, chưa bao gồm các chương trình ưu đãi có thể lên đến 50% tùy từng thời điểm. Chúng tôi cam kết sử dụng 100% răng sứ chính hãng, được nhập khẩu từ các quốc gia có nền nha khoa phát triển như Đức, Mỹ, Ý (Orodent, Cercon, HT Smile, DDBio…), kết hợp với quy trình điều trị chuẩn quốc tế, giúp bạn hoàn toàn yên tâm với nụ cười mới của mình.
Hãy liên hệ ngay với Nha khoa Dentos để được tư vấn và thăm khám hoàn toàn miễn phí nhé!
Xem thêm:
Các loại răng sứ phổ biến hiện nay và ưu nhược điểm từng loại





