Tháo răng sứ có đau không? 6 Dấu hiệu bạn cần làm lại răng sứ ngay
Chiếc răng sứ từng là niềm tự hào của bạn giờ đây lại gây ra đau nhức, hôi miệng, hay đen viền nướu? Bạn đang phải chịu đựng sự khó chịu từng ngày và lo lắng không biết tháo răng sứ có đau không, quy trình sẽ ra sao và phải làm gì tiếp theo? Đây là tình trạng không hiếm gặp và nó báo hiệu chiếc răng sứ của bạn đang gặp vấn đề nghiêm trọng. Bài viết này từ nha khoa Dentos sẽ giải đáp mọi thắc mắc và mang đến cho bạn giải pháp triệt để.
1. Tháo răng sứ có đau không?
Với câu hỏi này, Dentos khẳng định rằng: Tại Dentos, quá trình tháo răng sứ diễn ra hoàn toàn nhẹ nhàng và không đau. Sở dĩ chúng tôi có thể tự tin cam kết như vậy là vì quy trình được thực hiện trực tiếp bởi đội ngũ Thạc sĩ, Bác sĩ Chuyên Khoa II giàu kinh nghiệm, kết hợp với các công nghệ hiện đại giúp cắt mão sứ một cách chính xác mà không gây tổn thương đến cùi răng thật bên trong. Trước khi thực hiện, bạn sẽ được gây tê nhẹ nhàng để đảm bảo sự thoải mái tối đa.

2. Khi nào bạn nên tháo răng sứ ra làm lại?
Nếu bạn gặp phải một trong những dấu hiệu dưới đây, hãy đến nha khoa uy tín để thăm khám ngay lập tức. Đây là những cảnh báo cho thấy răng sứ của bạn đã bị lỗi và cần được xử lý sớm.
- Đau nhức, ê buốt kéo dài: Nguyên nhân sâu xa thường do cùi răng thật đã bị mài không đúng tỉ lệ, xâm lấn vào khoảng sinh học hoặc gây kích ứng tủy răng.
- Viêm lợi, hôi miệng: Đây là dấu hiệu của việc mão sứ không khít sát với cùi răng, tạo ra kẽ hở cho vi khuẩn và vụn thức ăn tích tụ, gây viêm nhiễm và mùi khó chịu.
- Đen viền nướu: Tình trạng này rất phổ biến ở những người sử dụng răng sứ kim loại. Sau một thời gian, khung sườn kim loại bên trong bị oxy hóa trong môi trường miệng, gây ra viền đen mất thẩm mỹ.
- Răng sứ bị vỡ, mẻ: Thường xảy ra do vật liệu sứ kém chất lượng, không đủ độ cứng chắc hoặc do kỹ thuật lắp đặt sai khiến khớp cắn của bạn bị cộm, cấn.

- Răng sứ bị xỉn màu, ố vàng: Các loại sứ giá rẻ, không chính hãng thường có bề mặt không đủ trong và bóng, dễ bị nhiễm màu thực phẩm và không thể tẩy trắng lại được.
- Dị ứng với vật liệu: Một số trường hợp dị ứng với kim loại trong sườn sứ (Niken, Crom...), gây kích ứng, sưng đỏ nướu kéo dài.
3. Quy trình tháo răng sứ cũ diễn ra như thế nào?
Tại Dentos, quy trình tháo răng sứ cũ được thực hiện một cách chuyên nghiệp và an toàn qua 4 bước cốt lõi:
Bước 1: Thăm khám và chuẩn bị
Đầu tiên, bác sĩ sẽ kiểm tra kỹ lưỡng tình trạng răng sứ của bạn, chụp phim X-quang để đánh giá phần cùi răng thật bên trong và xác định chính xác nguyên nhân gây ra vấn đề. Khi đã xác định cần phải tháo, toàn bộ khoang miệng của bạn sẽ được vệ sinh sạch sẽ để đảm bảo môi trường vô khuẩn. Sau đó, bác sĩ sẽ tiến hành gây tê tại chỗ để bạn cảm thấy hoàn toàn thoải mái trong suốt quá trình thực hiện.
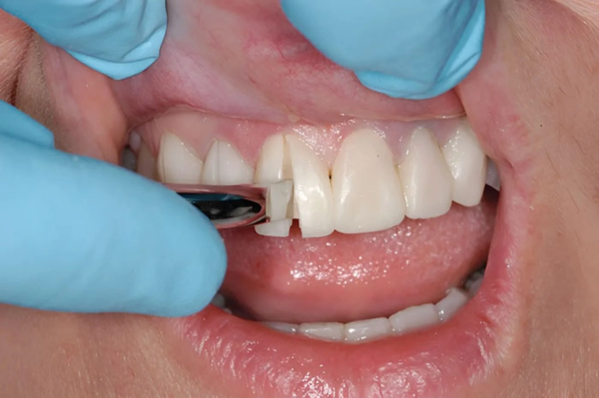
Bước 2: Tiến hành tháo mão sứ cũ
Dựa trên tình trạng thực tế, bác sĩ sẽ lựa chọn một trong hai kỹ thuật an toàn sau:
- Cách 1 - Chia nhỏ mão sứ: Bác sĩ sẽ sử dụng dụng cụ chuyên dụng để chia mão sứ cũ thành nhiều phần nhỏ, sau đó nhẹ nhàng gỡ từng phần ra khỏi cùi răng thật.

- Cách 2 - Mài dọc thân răng: Bác sĩ sẽ mài một đường nhỏ theo chiều dọc trên thân mão sứ cho đến khi lộ ra lớp sườn bên trong, sau đó sẽ dùng dụng cụ để tách và nhấc mão sứ ra một cách nguyên vẹn. Cả hai cách đều được thực hiện cẩn thận để bảo vệ tối đa cấu trúc răng thật của bạn.
Bước 3: Lấy dấu để chế tác răng sứ mới
Sau khi mão sứ cũ được tháo ra và cùi răng thật đã được làm sạch, sửa soạn lại, bác sĩ sẽ tiến hành lấy dấu răng của bạn. Tại Dentos, bước này thường được thực hiện bằng máy scan kỹ thuật số iTero 5D để có được thông số chính xác tuyệt đối, làm cơ sở để chế tác một chiếc răng sứ mới hoàn hảo.
Bước 4: Gắn lại mão sứ hoàn chỉnh
Khi mão sứ mới đã được chế tác xong, bác sĩ sẽ tiến hành gắn cố định lên cùi răng của bạn. Khớp cắn sẽ được kiểm tra và tinh chỉnh kỹ lưỡng để đảm bảo bạn có cảm giác ăn nhai thoải mái và tự nhiên nhất, chính thức khôi phục lại chức năng và thẩm mỹ cho chiếc răng.
4. Làm sao để không phải tháo răng sứ lần thứ hai?
Tháo răng sứ hỏng là việc sửa chữa một sai lầm. Nhưng giải pháp tốt nhất chính là làm đúng ngay từ đầu. Tất cả các nguyên nhân gây hỏng răng sứ nêu trên đều có thể được phòng tránh nếu bạn lựa chọn một nha khoa uy tín, nơi cam kết về 3 yếu tố cốt lõi:
- Bác sĩ có chuyên môn cao: Một Bác sĩ Chuyên Khoa II, Thạc sĩ sẽ đảm bảo việc mài răng đúng tỉ lệ, không xâm lấn tủy và lắp răng sứ với khớp cắn chuẩn xác.
- Vật liệu sứ chính hãng: Các dòng răng toàn sứ cao cấp như Orodent, Cercon, Lava Esthetic... sẽ không bị oxy hóa gây đen viền nướu, không gây dị ứng, có độ bền cao và giữ màu sắc trắng trong dài lâu.

- Ứng dụng hệ thống công nghệ nha khoa kỹ thuật số toàn diện: Từ chẩn đoán hình ảnh 3D với CT Cone Beam, thiết kế nụ cười thẩm mỹ với DSD 3D, đến chế tác răng sứ chính xác tại Labo bằng công nghệ CAD/CAM và máy lấy dấu iTero 5D. Quy trình khép kín này đảm bảo mỗi chiếc răng sứ đạt độ khít sát hoàn hảo, loại bỏ triệt để nguy cơ hở kẽ gây viêm nướu hay hôi miệng.
Tại Dentos, chúng tôi tự hào cung cấp đầy đủ cả 3 yếu tố trên, cam kết mang đến cho bạn một kết quả không chỉ đẹp mà còn khỏe mạnh và bền vững.
Bạn muốn chấm dứt những phiền toái từ chiếc răng sứ cũ và tìm một giải pháp bền vững cho nụ cười của mình? Liên hệ ngay nha khoa Dentos qua Hotline 0935 666 639 để được các chuyên gia hàng đầu thăm khám và tư vấn hoàn toàn miễn phí!
Xem thêm:





