TOP 6 phương pháp làm răng thẩm mỹ thịnh hành hiện nay
Một nụ cười rạng rỡ và khỏe mạnh là tiền đề cho sự tự tin và thành công của mọi người. Do đó, để sở hữu nụ cười hoàn hảo, các phương pháp làm răng thẩm mỹ ngày càng được yêu thích và thịnh hành. Cùng Dentos điểm danh TOP 6 phương pháp làm răng thẩm mỹ được ưa chuộng nhất hiện nay nhé!
1. TOP 6 phương pháp làm răng thẩm mỹ thịnh hành hiện nay
1.1. Tẩy trắng răng
Tẩy trắng răng là phương pháp làm răng thẩm mỹ giúp đánh bay những mảng bám ố vàng, xỉn màu trên răng và khôi phục lại hàm răng trắng sáng cho người dùng. Phương pháp làm răng thẩm mỹ này phù hợp với những người:
- Bị tuổi tác, di truyền
- Có chế độ ăn uống không lành mạnh, uống nhiều cà phê, đồ uống có ga…
- Vệ sinh răng miệng chưa đúng cách
- Sử dụng Tetracyclin khi còn nhỏ hoặc phụ nữ sử dụng trong thời gian thai kỳ
Bạn có thể tẩy trắng răng tại nhà hoặc thực hiện tại các địa chỉ nha khoa uy tín như Dentos để đạt được hiệu quả tối ưu.
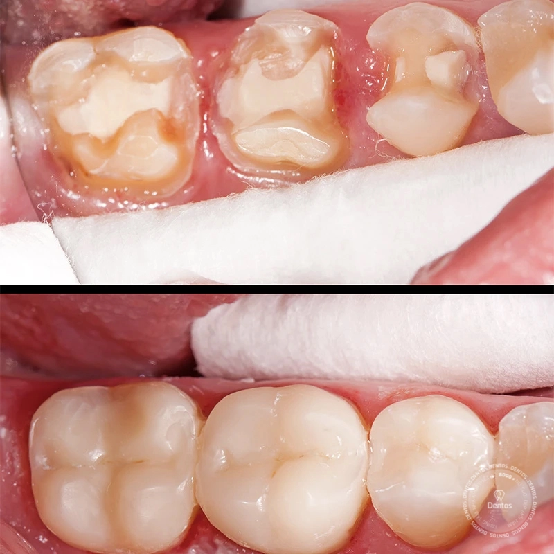
1.2. Trám răng
Trám răng là phương pháp sử dụng các chất liệu như Amalgam, vàng, xi măng, composite… để trám vào vị trí răng bị khuyết do răng bị sâu, răng thưa, răng bị mẻ hoặc trám mới thay chỗ cũ… để khôi phục hình dáng và chức năng của răng.

1.3. Niềng răng
Niềng răng là phương pháp làm răng thẩm mỹ với các khí cụ chuyên dụng để điều chỉnh vị trí của răng theo một phác đồ cụ thể, từ đó tạo ra sự cân đối giữa hàm răng và khuôn mặt.
Phương pháp này phù hợp với những khách hàng: răng bị hô, móm, cắn bị chéo hàm, cắn bị hở, răng thưa, răng chen chúc… Nha sĩ sẽ tiến hành sử dụng một trong ba dụng cụ sau để niềng răng làm răng thẩm mỹ:
- Niềng răng mắc cài kim loại
- Niềng răng mắc cài sứ
- Niềng răng mắc cài trong suốt.
1.4. Dán Veneer
Dán sứ Veneer là phương pháp làm răng thẩm mỹ hiện đại với thiết kế những miếng sứ siêu mỏng nhẹ được dán lên mặt trước của răng thật (đã được mài nhẹ) để cải thiện màu sắc, kích thước của răng. Phương pháp làm răng thẩm mỹ này giúp xử lý nhanh chóng đối với các trường hợp: răng nhiễm màu, dáng răng xấu ở mức độ nhẹ, đen viền chân răng, răng sứ cũ kém chất lượng…
Các loại mặt dán sứ Veneer được ưa chuộng nhất hiện nay bao gồm: Veneer Emax, Lisi Press, Zirconia…

1.5. Mão răng sứ
Đối với các trường hợp răng bị sâu, điều trị tủy, răng bị nhiễm màu nặng, răng thưa, hở kẽ, hô móm hoặc răng sứ kém chất lượng đã bị hỏng… thì chụp mão răng sứ là phương pháp làm răng thẩm mỹ tối ưu. Theo đó, nha sĩ sẽ sử dụng mão sứ (được thiết kế riêng theo từng dấu răng của khách hàng) chụp lên phần thân răng răng đã được xử lý bề mặt.

Răng sứ hiện nay bao gồm 2 loại chính là răng sứ bán phần (răng sứ kim loại) và răng sứ toàn phần (răng toàn sứ).
1.6. Cấy implant
Cấy Implant là phương pháp làm răng thẩm mỹ sử dụng trụ Implant từ Titanium để cấy vào xương hàm, sau đó chụp mão răng lên trên thông qua khớp nối Abutment để tạo thành răng hoàn chỉnh, thay thế răng trong các trường hợp: sâu, hỏng cần nhổ bỏ, mất 1 hoặc nhiều răng, đang sử dụng hàm giả nhưng không hiệu quả…
2. Nha khoa Dentos - Đơn vị làm răng thẩm mỹ uy tín và chất lượng tại TP.HCM
Hy vọng với những thông tin từ bài viết trên, nha khoa Dentos đã giúp bạn nắm được 6 phương pháp làm răng thẩm mỹ phổ biến nhất 2024. Bên cạnh đó, để biết nên lựa chọn kỹ thuật nào, bạn cần xem xét tình trạng răng miệng, nhu cầu cũng như khả năng tài chính của bản thân.
Nếu bạn vẫn còn đang phân vân không biết nên sử dụng phương pháp làm răng thẩm mỹ nào thì tối ưu nhất về hiệu quả lẫn chi phí, hãy đến với nha khoa Dentos để được hỗ trợ tận tình và nhanh chóng.

Dentos được bình chọn là TOP 1 Nha khoa có sản lượng tiêu thụ răng sứ chính hãng, bình chọn bởi Dentsply Sirona - Tập đoàn SX và cung ứng giải pháp nha khoa lớn nhất Thế giới & Orodent - Thương hiệu răng sứ an toàn nhất Thế giới. Với 3 chi nhánh phục vụ hơn 30.000 khách hàng và thành công kiến tạo hơn 8.000 nụ cười hoàn mỹ mỗi năm với các sản phẩm đa dạng từ răng sứ Orodent, Zirconia, Cercon, Lava Esthetic... Hãy nhanh tay liên hệ với chúng tôi để được hỗ trợ tận tình, nhanh chóng với giá bọc răng sứ thường hợp lý nhất!
Xem thêm:





