Trẻ em có bọc răng sứ được không?
Chắc hẳn quý phụ huynh đã quen thuộc với việc người lớn bọc răng sứ để khắc phục các vấn đề như răng xấu, sâu vỡ. Vậy, liệu trẻ em có thể thực hiện phương pháp này khi răng của trẻ gặp các vấn đề như sâu, mẻ, hay nhiễm màu? Trong bài viết này, Nha khoa Dentos sẽ giúp bạn giải đáp thắc mắc để yên tâm lựa chọn giải pháp an toàn và phù hợp nhất cho nụ cười của con em mình!
1. Trẻ em có bọc răng sứ được không?
Trẻ em tốt nhất không nên bọc răng sứ, vì nếu như ở người lớn, bọc răng sứ là một giải pháp hiệu quả để có hàm răng đẹp và trẻn chắc, thì với trẻ em, mọi thứ lại khác biệt.
Trong giai đoạn răng sữa (thường từ khoảng 6 tuổi trở đi, khi răng bắt đầu lung lay và thay thế), răng sẽ rụng đi để nhường chỗ cho răng vĩnh viễn. Nếu bọc răng sứ cho răng sữa vào thời điểm này, mão sứ cứng có thể cản trở quá trình mọc của răng vĩnh viễn, dẫn đến tình trạng lệch lạc răng và ảnh hưởng đến cấu trúc răng của trẻ khi trưởng thành.

Thêm vào đó, quá trình bọc răng sứ đòi hỏi phải mài răng – một thủ thuật có thể gây ra sự sợ hãi cho trẻ. Âm thanh của máy mài và cảm giác lạ lẫm có thể để lại những ấn tượng không tốt, đặc biệt đối với những trẻ vốn đã có tâm lý e ngại khi đến nha khoa.

Một yếu tố quan trọng nữa là xương hàm của trẻ vẫn đang trong giai đoạn phát triển mạnh mẽ. Mão sứ được gắn cố định có thể trở nên chật chội theo thời gian, gây ra cảm giác cộm, đau, thậm chí làm tổn thương răng thật trẻn trong. Việc bọc răng sứ cho răng sữa còn có thể gây thiếu khoảng trống hoặc làm răng vĩnh viễn mọc không đúng vị trí.
Vậy nếu không bọc răng sứ, các bậc cha mẹ có thể làm gì để khắc phục các vấn đề về răng cho con em mình? Liệu có phải cứ để như vậy cho đến khi trẻ trưởng thành? Nha khoa Dentos sẽ chia sẻ những giải pháp an toàn và hiệu quả hơn ngay sau đây!
2. Giải pháp an toàn cho răng trẻ em từ nha khoa Dentos
Đối với răng sữa, các chuyên gia khuyến cáo tuyệt đối không nên bọc răng sứ.
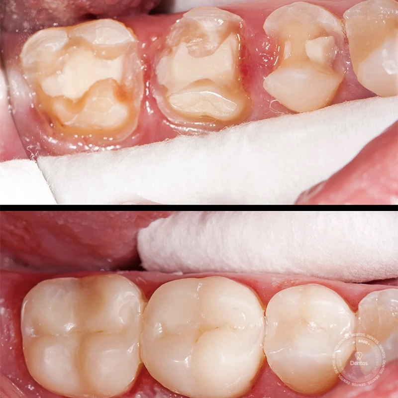
Thay vì bọc răng sứ cho răng sữa, trám răng là một giải pháp lý tưởng và an toàn hơn cho trẻ. Phương pháp trám răng không đòi hỏi phải mài răng, giúp bảo tồn tối đa răng thật, đồng thời được thực hiện nhanh chóng, giảm thiểu sự khó chịu cho trẻ.

Nếu răng của trẻ gặp các vấn đề về thẩm mỹ như ố vàng, nhiễm màu nhẹ, hoặc hô nhẹ, quý phụ huynh nên kiên nhẫn chờ đến khi trẻ trưởng thành để cân nhắc các phương pháp tẩy trắng, niềng răng hoặc bọc răng sứ.
Điều quan trọng nhất vẫn là phòng ngừa các vấn đề răng miệng cho trẻ bằng cách hướng dẫn trẻ đánh răng đúng cách ít nhất hai lần mỗi ngày, sử dụng bàn chải mềm phù hợp với lứa tuổi, và đưa trẻ đi khám nha khoa định kỳ 6 tháng một lần để phát hiện sớm và có biện pháp can thiệp kịp thời.
Với răng vĩnh viễn, việc bọc răng sứ chỉ nên được cân nhắc khi thật sự cần thiết, chẳng hạn như trong các trường hợp:
- Răng bị sâu lớn, vỡ mẻ nghiêm trọng không thể phục hồi bằng phương pháp trám thông thường.
- Răng bị chấn thương nặng (ví dụ: gãy lớn) không thể phục hồi bằng trám.
- Răng đã điều trị tủy trở nên giòn và dễ gãy.
- Răng bị mòn men nghiêm trọng gây ảnh hưởng đến chức năng ăn nhai.
Độ tuổi an toàn để bọc răng sứ thường là trên 18 tuổi, khi xương hàm đã phát triển hoàn thiện. Trong một số trường hợp ngoại lệ, trẻ từ 16-17 tuổi có thể được chỉ định bọc răng sứ sau khi nha sĩ đã kiểm tra kỹ lưỡng và đánh giá sự phát triển của xương hàm.
3. Nha khoa Dentos: Đồng hành cùng nụ cười của trẻ
Tại Nha khoa Dentos, đơn vị uy tín hàng đầu trong lĩnh vực nha khoa, chúng tôi hoàn toàn thấu hiểu những lo lắng của quý phụ huynh khi con em mình gặp phải các vấn đề về răng miệng. Đội ngũ bác sĩ tận tâm và giàu kinh nghiệm của chúng tôi sẽ tiến hành thăm khám kỹ lưỡng, đưa ra phác đồ điều trị tốt nhất, luôn ưu tiên mục tiêu bảo tồn răng thật tối đa cho trẻ.

Dentos sẽ ưu tiên các phương pháp trám răng và phòng ngừa trẻnh lý răng miệng cho trẻ. Chỉ trong những trường hợp thật sự cần thiết, chúng tôi mới cân nhắc đến phương pháp bọc răng sứ, và luôn sử dụng các loại sứ cao cấp, chính hãng nhập khẩu từ Đức, Mỹ, Ý, đảm bảo an toàn và mang lại vẻ đẹp tự nhiên cho nụ cười của trẻ.
Quý phụ huynh đang có những lo lắng về tình trạng răng miệng của con em mình? Hãy đặt lịch hẹn ngay để được các chuyên gia của Nha khoa Dentos thăm khám và tư vấn hoàn toàn miễn phí ngay hôm nay!
Xem thêm:
Bảng giá răng sứ thẩm mỹ mới nhất tại nha khoa Dentos
Răng sứ Đức giá bao nhiêu? - Các loại răng sứ Đức phổ biến hiện nay





